孩子的牙齒已經嚴(yan) 重齲壞了,想要拔牙,但是不想去公立醫院,專(zhuan) 業(ye) 的牙科醫院拔牙一般需要多少錢?深圳牙科醫生介紹,兒(er) 童拔牙的價(jia) 格一般在公立醫院和專(zhuan) 業(ye) 的牙科醫院是差不多的,通常不用擔心。...
孩子的牙齒已經嚴(yan) 重齲壞了,想要拔牙,但是不想去公立醫院,專(zhuan) 業(ye) 的牙科醫院拔牙一般需要多少錢?深圳牙科醫生介紹,兒(er) 童拔牙的價(jia) 格一般在公立醫院和專(zhuan) 業(ye) 的牙科醫院是差不多的,通常不用擔心。
兒(er) 童牙科拔牙一般要多少錢
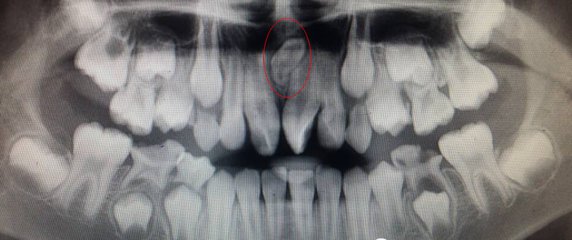
兒(er) 童牙齒齲壞嚴(yan) 重,一般需要在拍片檢查後才能確定是否能夠保留牙齒,如果可以治療後保留的牙齒一般醫生是不會(hui) 輕易進行拔除的。因為(wei) 嚴(yan) 重齲壞的牙齒,可以查看是否傷(shang) 害到牙髓組織了,如果沒有,可以進行試補牙,沒有異常就可以正式補牙充填,如果有異常疼痛或者是已經露出牙髓的情況,也可以做根管治療來保留牙齒。

一般不要輕易拔牙,但是如果出現了多生牙的情況要不要拔除呢?深圳愛康健口腔醫院兒(er) 牙醫生表示,多生牙,就是多出來的牙齒,所以在檢查確認後,一般是需要拔除,如果不拔除,就會(hui) 導致牙齒畸形,影響咀嚼功能和美觀。
通常情況下,如果可以不拔牙的話,就盡量治療後保留牙齒;如果有多生牙、嚴(yan) 重齲齒不得不拔牙的情況,要帶孩子去醫院拔牙。目前兒(er) 童拔牙的價(jia) 格也不貴,一般幾百元就可以,而且拔牙技術也比較了,可以盡量做到微創拔牙了,所以不用過於(yu) 擔心。
如需進一步了解拔牙費用,可以點擊:拔牙價(jia) 格
**文章如有涉及相關(guan) 價(jia) 格費用,僅(jin) 供參考,實際看牙收費請以門診報價(jia) 為(wei) 準!**