正畸拔牙拔智齒的項目和費用是包含的嗎?通常是不包含的。因為(wei) 每個(ge) 人的牙齒情況都不相同,需要量牙定製矯正方案,不能統一模板收費,這樣不公平。...
牙齒矯正是不是都要把智齒拔了呀?很多想要矯牙的**都想著能一塊把智齒處理了更好,一舉(ju) 兩(liang) 得。不過牙齒矯正也並不是一定都要拔除智齒的,需要根據實際的牙齒情況來確定。

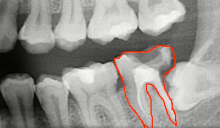
第二磨牙壞掉嚴(yan) 重選擇拔除,把智齒牽引出來頂替
牙齒正畸通常要不要拔智齒,需要分幾種情況:
1、牙齒矯正前沒長智齒的:智齒通常在16-18歲後開始萌出,如果在這之前沒有長智齒的,通常就不用考慮拔不拔智齒,相當於(yu) 少了一件事情,可以節省為(wei) 了不少時間和精力。
2、牙齒矯正前長了智齒的:這時候通常需要通過全景片來查看智齒的位置和生長方向等,如果智齒對矯正有影響的,可能會(hui) 建議在牙齒矯正前先拔除智齒;
但是如果智齒對牙齒基本沒有什麽(me) 影響,也可以不做拔除處理,而是先觀察觀察智齒的情況再做決(jue) 定;
如果智齒對牙齒矯正沒有影響,甚至可以把埋伏長歪的智齒牽引出來,頂替懷掉或者缺失的第二磨牙,這是智齒“廢物利用”的表現,需要綜合評估確定。

正畸把智齒成功牽引出來
原則上來說,牙齒正畸就是把牙齒排列整齊、咬合調整好、中線對齊等保障牙齒的正常咀嚼和美觀功能。包含的項目通常不包括拔智齒、正畸拔牙、以及牙周治療、補牙等,這些項目一般都是牙齒矯正前需要做的準備工作,通常需要對應的牙科醫生負責,而不是正畸醫生,所以費用也需要另外計算。
因此,牙齒矯正的時候拔智齒通常隻是借著這個(ge) 契機,把智齒順便給處理了。而且智齒每個(ge) 人萌出的時間、數量也不相同,不過,建議如果想矯正可以先找正畸醫生評估,能利用的可以利用起來,少花費種一顆牙的費用。
**文章如有涉及相關(guan) 價(jia) 格費用,僅(jin) 供參考,實際看牙收費請以門診報價(jia) 為(wei) 準!**