正畸前一般需要拍什麽(me) 牙片?正畸之前可能不僅(jin) 需要拍全景片,頭顱定位片,有必要的話,還需要拍ct片、小牙片等。具體(ti) 還是要看根據牙齒情況來看。...
去醫院想整牙,醫生說要拍片了解牙齒基本情況,這我能理解,不過,全景片和ct片不是一個(ge) 意思嗎,能看清楚牙齒情況不就好了嗎?為(wei) 什麽(me) 兩(liang) 個(ge) 都要做呢?別著急,有一樣困惑的朋友很多,接下來我們(men) 來解答一下。
正畸之前需要拍什麽(me) 片子?
一般來說,正畸之前都是需要拍曲麵斷層片(就是全景片)和頭顱側(ce) 位片的。必要的時候,全景片無法確定的問題,通常需要進一步拍CT片。

全景片裏可以看出很多牙齒問題
拍全景片通常是為(wei) 了了解全口牙齒數量、有無多生牙、埋伏牙,牙根有無吸收、牙齒位置好不好,還有牙槽骨和牙周的情況怎麽(me) 樣等,便於(yu) 提前處理。有人說,如果整牙前不拍全景片,就是醫生自己在給自己埋炸彈,也是不負責任的做法。

醫生對頭顱側(ce) 位片進行測量
而拍頭顱定位片(正位和側(ce) 位片)則通常是醫生可以通過測量上下頜骨的情況,然後判斷牙齒畸形是骨性還是牙性的問題,這樣對於(yu) 牙齒矯治方案的指定以及矯治結果判斷等有重要作用。

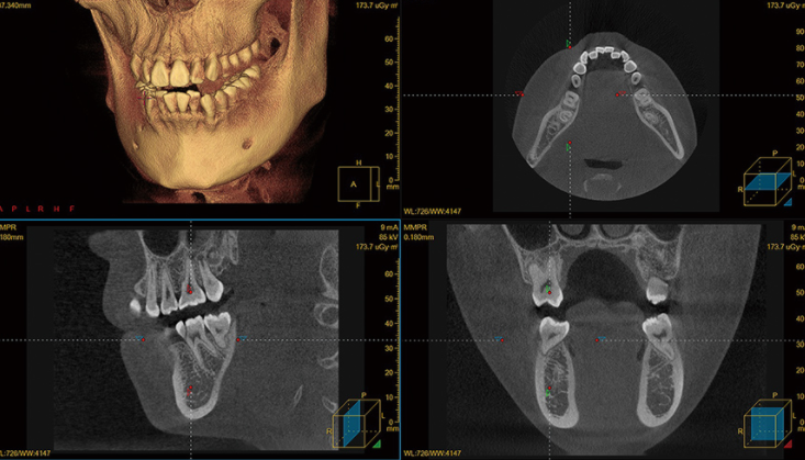
CT片
再者,就要說說這個(ge) CBCT片,簡稱CT片。通常是拍曲麵斷層發現問題不能準確判斷的時候需要做的檢查,畢竟CBCT片是三維的,可以從(cong) 片子上了解到二維的曲麵斷層片看不到的牙齒情況。比如,正畸牽引以及正頜手術通常都需要拍牙齒ct片。
CT片和全景片有什麽(me) 區別
相比全景片來說,借助ct片,醫生通常可以更為(wei) 立體(ti) 、清晰和直觀的看到牙齒的情況,尤其是有埋伏牙的情況,所以雖然口腔ct器械並不便宜,但由於(yu) 它對於(yu) 牙科有重要重要,不少專(zhuan) 業(ye) 口腔機構和大醫院都引進了ct機,並把cbct檢查也列為(wei) 了正畸常見的檢查項目。

以一根香蕉為(wei) 例,可以看出普通X光片和CT片的區別
所以,全景片和CT片不是一樣的,正畸前拍牙片通常可以讓醫生通過影像資料“透視”肉眼看不到的情況,然後做出全麵、可靠的診段,這樣才是一個(ge) 負責任的醫生需要做的事情。如果大家在就診時有疑問,直接找正畸醫生谘詢,不要自己胡亂(luan) 猜想或者網絡搜索答案,浪費時間。
**文章如有涉及相關(guan) 價(jia) 格費用,僅(jin) 供參考,實際看牙收費請以門診報價(jia) 為(wei) 準!**