全景片顧名思義(yi) ,其實就是可以把所有的牙齒拍攝出來的一種牙片,也是屬於(yu) 一種X光片,是幫助醫生診斷很多牙齒疾 的影像資料,那麽(me) 這種口腔全景片在深圳牙科醫院要多少錢?...
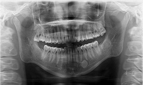
全景片顧名思義(yi) ,其實就是可以把所有的牙齒拍攝出來的一種牙片,也是屬於(yu) 一種X光片,是幫助醫生診斷很多牙齒疾病的影像資料,那麽(me) 這種口腔全景片在深圳牙科醫院要多少錢?

深圳口腔醫院醫生表示,口腔全景片可以用於(yu) 診斷是否有根尖炎,齲洞,囊腫,多生牙以及智齒位置等,在較的醫院才會(hui) 有配置,所以通常要到專(zhuan) 業(ye) 的正規醫院進行才好。全景片費用的話,一般在一兩(liang) 百元左右,每個(ge) 醫院設備不同,收費情況可能會(hui) 不同。
口腔全景片其實是有一個(ge) 專(zhuan) 業(ye) 的口腔全景機器,一般**穿上防輻射服,站在相應的區域,把頦部放到一個(ge) 機器上,然後機器尅圍著頭部掃描一圈,這樣就能清晰的看到口腔內(nei) 所有的牙齒的情況,就能很好的判斷有幾顆智齒,缺了幾顆牙,蛀牙情況怎麽(me) 樣,以及牙齒畸形是否嚴(yan) 重等等。但也不是所有的牙齒情況都需要拍全景片,建議聽從(cong) 專(zhuan) 業(ye) 醫生的建議比較好。
**文章如有涉及相關(guan) 價(jia) 格費用,僅(jin) 供參考,實際看牙收費請以門診報價(jia) 為(wei) 準!**