牙齒矯正之前是需要先拍片確定牙齒基本情況的,因為(wei) 不僅(jin) 需要醫生麵診查看牙齒情況,還需要對全口牙齒整體(ti) 情況進行了解,才能拍查出很多牙齒問題,隻有一一處理後才能保證牙齒矯正順利進行,並且保證良好的結果。 深圳牙科醫院醫生介紹,一般來說,牙齒矯正之...
牙齒矯正之前是需要先拍片確定牙齒基本情況的,因為(wei) 不醫生麵診查看牙齒情況,還需要對全口牙齒整體(ti) 情況進行了解,才能拍查出很多牙齒問題,隻有一一處理後才能**牙齒矯正順利進行,並且**良好的結果。
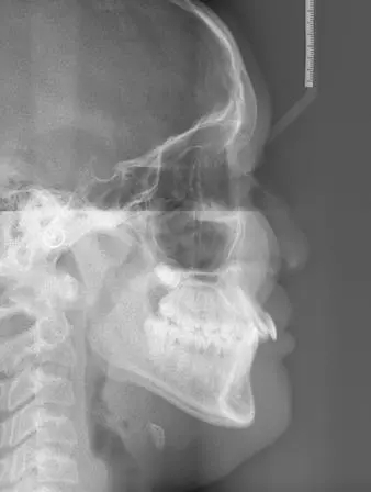
深圳牙科醫院醫生介紹,一般來說,牙齒矯正之前拍片主要包括全景片以及頭顱側(ce) 位片。

全景片
拍全景片是為(wei) 了解全口牙齒的數量以及畸形狀況。包括是否有多生牙、埋伏牙,牙根的位置、形態等好不好,還有重要的一點是牙槽骨的情況如何,牙周是否有炎症,是否滿足牙齒矯正的需求。拍全景片的價(jia) 格通常一兩(liang) 百元左右,不必擔心價(jia) 格。

頭顱側(ce) 位片
而拍頭顱側(ce) 位片主要是為(wei) 了很好的測量頜骨的畸形程度,分析原因,判斷是屬於(yu) 單純的牙齒問題,還是屬於(yu) 頜骨異常造成的,這個(ge) 判斷重要,涉及到采用不同的矯正方式以及不同的矯治難易程度。拍頭顱側(ce) 位片的價(jia) 格目前大致在一兩(liang) 百元左右。
溫馨提示:可能有的**情況比較複雜,還需要拍攝CBCT,不過價(jia) 格也不貴,在三四百元左右,所以大家需要選擇專(zhuan) 業(ye) 正規醫院,聽從(cong) 正畸醫生的建議,這樣可以保障醫生更為(wei) 全麵的了解牙齒情況,方便製定更為(wei) 精準、適合的牙齒矯正方案,進而保障牙齒矯正的結果。
**文章如有涉及相關(guan) 價(jia) 格費用,僅(jin) 供參考,實際看牙收費請以門診報價(jia) 為(wei) 準!**