很多患者都不知道牙科也要拍片。那麽(me) 拍牙片有什麽(me) 作用呢,特別是經常可見的全景片和CT片,這兩(liang) 種有什麽(me) 作用,有什麽(me) 區別呢,今天我們(men) 就和醫生來了解一下。...
看牙,醫生動不動就說先拍片看看,而很多**都不知道牙科也要拍片。那麽(me) 拍牙片有什麽(me) 作用呢,特別是經常可見的全景片和CT片,這兩(liang) 種有什麽(me) 作用,有什麽(me) 區別呢,今天我們(men) 就和醫生來了解一下這個(ge) 問題。
深圳牙科醫院醫生表示,牙科拍片主要是因為(wei) 醫生無法到看到埋在牙槽骨內(nei) 的牙根和周圍組織,以及口腔內(nei) 牙齒的整體(ti) 情況,掌握這些情況後,方便對症下藥,少走彎路,對於(yu) 製定牙科治療方案有很好的指導意義(yi) 。

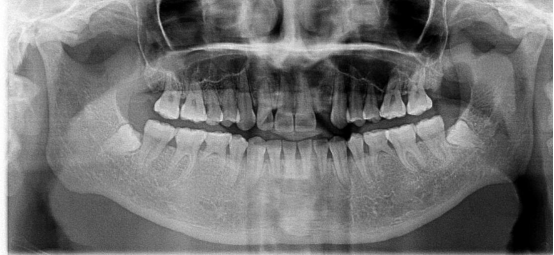
全景片:
顧名思義(yi) ,就是可以看到的全口牙齒情況的片子,不僅(jin) 可以看到牙齒,還能看到牙齦下的牙根情況,以及牙槽骨情況,對於(yu) 全口牙齒的健康情況了如指掌。使用比較廣泛,通常用於(yu) 查看智齒/多生牙(拔牙)、牙齦萎縮和牙槽骨吸收(牙周病治療)、正畸/種植牙等情況。

口腔CT:
全景片是平麵圖,而口腔CT可以模擬全景片,從(cong) 三維角度出發對牙齒情況進行拍攝的,可以發現一些全景片無法發現的細微病變。可以說,CT檢查是比較準確清晰的,目前也是醫院比較多的設備。也適用於(yu) 正畸、種植牙、以及智齒拔牙等多種情況。
兩(liang) 者區別還是比較大的,一個(ge) 是平麵的,一個(ge) 是三維的,當然需要的器械設備支持也不同,CT片的價(jia) 格通常要比全景片要貴一些。但都是牙科治療和修複中得力的助手。
因此,建議大家在就診的時候,選擇專(zhuan) 業(ye) 正規醫院和醫生,積極配合醫生拍牙片,係統了解自己的口內(nei) 牙齒情況後,製定合適的治療計劃會(hui) 更為(wei) 科學合理,畢竟醫生臨(lin) 床經驗再豐(feng) 富,**再多,也沒有孫悟空火眼金睛的技能。
**文章如有涉及相關(guan) 價(jia) 格費用,僅(jin) 供參考,實際看牙收費請以門診報價(jia) 為(wei) 準!**