不止是根管治療,但凡是牙科治療,為(wei) 了安全起見,都建議大家在孕前做好檢查和治療,以免孕期牙齒出現問題,受罪更多。而且有些項目可能無法操作。...
關(guan) 於(yu) 根管治療和懷孕的問題,很多網友都表示困惑,還沒開始做根管治療,目前在備孕有沒有什麽(me) 影響?或者是做完根管治療後懷孕了有影響嗎?以及孕期能不能做根管治療呢?接下來解答一下。

一般來說,牙髓摘除術+完善的根管治療,才算是完整的牙髓病的治療
**先,需要先明白,根管治療是怎麽(me) 做的?
根管治療,是針對牙髓病、根尖周病等采用的“去髓保牙”的治療方法,一般來說,主要的過程包括打開牙髓腔,去除根管內(nei) 壞死的牙髓和壞死組織,然後對根管進行消毒,等到沒有異常後再進行根管充填。如果是牙齒缺損過多的,還需要根據情況確定是否需要打樁和做牙冠。

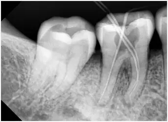
根管治療過程
根管治療過程比較複雜,通常可能需要3次甚至更多的時間,而且術前術中術後都需要拍X片查看根管治療的情況,此外,在根管治療時,通常需要進行局部麻醉下操作。
因此,一般來說,為(wei) 了孕期的**,減少對腹中胎兒(er) 的影響,不建議女性在孕期進行根管治療。

拍牙片確定根管長度
那麽(me) 懷孕前做根管治療會(hui) 有影響嗎?
因為(wei) 有局部麻醉以及拍片檢查,通常都希望大家能夠在備孕前期先到醫院檢查和治療牙齒,等到做完根管治療後再備孕比較好,如果擔心有影響的,可以間隔兩(liang) 三個(ge) 月後再懷孕比較好。
而且,根管治療相比普通的充填補牙來說,不僅(jin) 複雜,診療次數多,而且治療不完善的過程中還會(hui) 有疼痛等情況,會(hui) 增加女性不舒適的情況。
**文章如有涉及相關(guan) 價(jia) 格費用,僅(jin) 供參考,實際看牙收費請以門診報價(jia) 為(wei) 準!**