根管治療通常需要多次就診,多次拍片,拍片其實一定程度上就是為(wei) 了驗收治療結果怎麽(me) 樣。也不排除會(hui) 有治療結束後會(hui) 有複發的情況,不過這種比較少。...
我們(men) 經常都說根管治療要找就找技術好的醫生,一次做完善了才行,如果做得不好,後患無窮。其中的一個(ge) 後患就是會(hui) 複發出現疼痛,需要再次甚至多次做根管治療。那麽(me) 怎麽(me) 算是根管治療複發了?

根管治療後複發通常會(hui) 在治療結束後近期或者遠期出現叩痛、咀嚼痛,持續性陣痛(有的人受不了)以及牙齒鬆動等症狀。出現這些情況後建議大家一定要及時到醫院拍個(ge) 牙片,看看牙齒根管充填的情況,根尖有無陰影,是否發展為(wei) 根尖等。

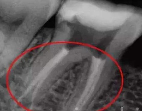
根管治療後拍片
根管治療複發率有多少?複發可能性高嗎?
根管治療有一定的複發率,這是正常的。至於(yu) 具體(ti) 的複發幾率是多少,這是不一定的,和很多因素息息相關(guan) 。
1、比如,和醫生技術有關(guan) 係。有的醫生臨(lin) 床經驗豐(feng) 富,對於(yu) 根管治療通常可以熟練操作,不會(hui) 出現超充或者欠充等情況,治療完成後出現複發的幾率自然比新手醫生更低一些。
2、比如,和根管治療難度有關(guan) 係。尤其是已經做過根管治療的牙齒,再次治療難度大,尤其是根管鈣化、殘髓沒有去除幹淨等,使得成功幾率自然更小。
3、比如,和牙齒根管情況有關(guan) 係,有的牙根又小又細,還有彎曲的,在擴弓根管和清理時不好操作,容易引起術後炎症。
因此,為(wei) 了盡量提高根管治療一次治療成功的幾率,需要先確保到正規機構就診,然後選擇根管治療技術過硬的醫生,這樣才能降低根管治療的失敗幾率。

根管治療超充、欠充在牙片上的顯示
根管治療複發後怎麽(me) 辦?
根管治療會(hui) 有複發的情況是常見的,畢竟每個(ge) 醫生的技術參差不齊。如果一次根管治療後有疼痛等不適症狀,建議及時複診,醫生會(hui) 根據拍片的實際情況給出治療方案的。
比如如果是根管超充或者是欠充,需要拆掉牙冠,重新根管治療,擴大根充,盡量接近根尖,對於(yu) 牙根彎曲或者過細疏通不了的,可以塑化治療。
如果是根管鈣化的話,得先看看鈣化的程度,在顯微鏡設備下探查疏通,操作雖然比較複雜,不過醫生經驗豐(feng) 富的話,一般比較有保障。
需要記住的是:根管治療一次失敗複發後不要喪(sang) 氣,不要放棄,直接去拔牙!趕緊及時找個(ge) 技術好的醫生檢查看看是否可以再次根管治療,如果可以,相當於(yu) 再次保留了自己的真牙。
**文章如有涉及相關(guan) 價(jia) 格費用,僅(jin) 供參考,實際看牙收費請以門診報價(jia) 為(wei) 準!**