牙齒外層透明的部分叫做牙釉質,牙釉質裏麵偏黃的是牙本質,還有就是牙齒裏麵看不到的中心位置是牙髓腔,裏麵有牙神經和血管。...
通常牙齒壞到牙釉質和牙本質時,可能症狀都不嚴(yan) 重,一旦壞到牙髓腔的牙神經,就會(hui) 出現劇烈疼痛,夜晚疼痛加劇,很多人都無法忍受。

那麽(me) 這時候怎麽(me) 辦?做根管治療!
吃藥什麽(me) 的結果不好,隻有到醫院打開牙髓腔,把感染發炎的牙神經取出來,才能起到止痛的作用。這個(ge) 操作叫作殺牙神經,專(zhuan) 業(ye) 的說法是根管治療,在牙神經去除後,需要對牙齒進行消毒殺菌,可能需要多次封藥,治療完善後,沒有疼痛等異常後再把牙齒充填起來。



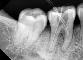
1.拍片 2.開髓 3.確定根管長度



4.根管預備 5.根管衝(chong) 洗消毒 6.根管充填


7.打樁 8.牙冠
根管治療後的牙齒能用幾年?不一定!
愛康健齒科醫生表示,根管治療的牙齒能用幾年不是統一確定的,理論上來說,隻要根管治療完善,患牙可長久留在口中。有的朋友可能用了幾年,有的朋友可能用了十幾年,這和很多因素息息相關(guan) 。
1、為(wei) 咀嚼任務重的患牙加個(ge) 外套:由於(yu) 去除感染的牙神經和組織後,牙齒剩餘(yu) 的健康組織就不多,且牙齒沒有了營養(yang) 來源,牙齒會(hui) 變得很脆弱,咀嚼時容易折斷。如果做個(ge) 牙冠,就能為(wei) 牙齒加個(ge) “buff",讓牙齒得以繼續使用,治療後加以保護與(yu) 不保護,結果自然是不同的。
2、注意患牙的愛護:即便是有牙冠保護,畢竟是假牙,再相似也不是真的。所以在日常使用過程中需要多加愛護,比如說不要用牙齒吃過硬的螃蟹、排骨、甘蔗,也不要把牙齒當做啟瓶器、剪刀等工具,否則可能會(hui) 因為(wei) 咬合過大而導致牙冠繃瓷折裂。
因此,綜上所述,如果該做根管治療的還是需要做的,否則,如果因為(wei) 怕疼?怕價(jia) 格貴?怕牙齒不能保留等原因,該做根管治療而不做,等到根尖炎症加重,可能連根管治療的機會(hui) 都沒有了,而是需要直接拔牙!所以根管治療是牙齒保留下來得以繼續使用的解決(jue) 方法,大家且做且珍惜。
**文章如有涉及相關(guan) 價(jia) 格費用,僅(jin) 供參考,實際看牙收費請以門診報價(jia) 為(wei) 準!**