牙齒壞掉了有很多不同的原因,所以需要先明確是什麽(me) 原因。可能很多人都想要一拔了之,但是實際上醫生是不允許的。深圳牙科醫院醫生表示,牙齒壞了,治療後還可以繼續使用的就要盡量保留,畢竟真牙要比假牙好。...
牙齒壞掉了有很多不同的原因,所以需要先明確是什麽(me) 原因。可能很多人都想要一拔了之,但是實際上醫生是不允許的。深圳牙科醫院醫生表示,牙齒壞了,治療後還可以繼續使用的就要盡量保留,畢竟真牙要比假牙好。

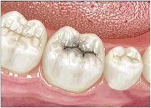
牙齒壞掉了怎麽(me) 辦
醫生表示,目前牙齒壞掉常見原因是蛀牙,但是除了蛀牙還有牙齒缺損以及牙周炎等原因,所以對於(yu) 牙齒壞掉了怎麽(me) 辦,當然是對症進行治療。不過是先要拍牙片進行檢查。
1、如果是蛀牙:一般淺齲、中齲以及深齲沒有涉及到牙神經傷(shang) 害的,可以進行樹脂補牙,但是如果是涉及到牙神經的,可能是需要做根管治療的。根管治療後牙齒可以保留繼續使用,因此一般不建議拔牙,除非沒有治療和保留的價(jia) 值的殘根,就隻有拔掉。

2、牙齒缺損:這種也是比較常見的,特別是牙隱裂以及外傷(shang) 大部分牙齒缺損等情況,一般需要及時進行修複的,可以采用牙齒貼麵以及烤瓷冠進行修複,而且結果不錯,除非是沒有修複的必要了才進行拔牙。
3、牙周炎:牙周炎出現牙齒壞掉的情況比較少,因為(wei) 如果出現了重度牙周炎,更多的是牙齒鬆動、直接脫落的情況。
除了以上幾個(ge) 常見的原因,無論是哪一種原因,基本上都是保持盡量不拔牙的原則,因為(wei) 如果拔牙後牙齒缺失需要鑲牙修複的,浪費更多的精力和費用來鑲假牙,使用起來也不如自己的真牙舒適。
**文章如有涉及相關(guan) 價(jia) 格費用,僅(jin) 供參考,實際看牙收費請以門診報價(jia) 為(wei) 準!**