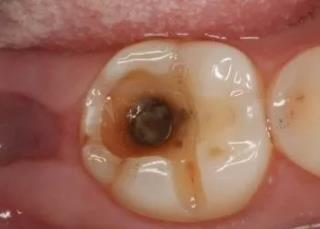
不少患者蛀牙後,疼得受不了,而且牙齒爛了一大半,到醫院後就想要直接進行補牙,但是這種多半是不能直接補牙的,因為(wei) 牙齒壞掉的組織太多了,需要做根管治療而不是補牙充填。...
不少**蛀牙後,疼得受不了,而且牙齒爛了一大半,到醫院後就想要直接進行補牙,但是這種多半是不能直接補牙的,因為(wei) 牙齒壞掉的組織太多了,需要做根管治療而不是補牙充填。

蛀牙出現劇烈疼痛,多半是感染到牙髓組織,也就是牙神經了,補牙不能治療,根管治療才是治療牙髓炎等炎症的有效方法。通過去除壞掉的牙神經,然後封藥治療,沒有異常後根管充填,再做牙冠修複根管治療的牙齒。
其次,蛀牙的牙齒壞掉的麵積大,即便是直接進行補牙,樹脂等材料補牙結果也不好,補牙後很容易出現材料脫落。
而且,有的人可能不止是牙髓炎,可能是牙根發炎了,會(hui) 有膿包,需要到醫院先拍牙片確定牙齒基本的情況後,才能對症進行治療。
因此,深圳牙科醫院醫生表示,不是醫生不幫忙進行補牙,而是就診太晚,牙齒已經不能補牙治療,而且補牙結果不好,拍片進一步確定牙齒基本情況後根管治療才是治療和保留牙齒的重要途徑,否則蛀牙都隻進行單純的補牙充填,齲壞組織去除不幹淨,還會(hui) 再次齲壞,需要再次就診。
**文章如有涉及相關(guan) 價(jia) 格費用,僅(jin) 供參考,實際看牙收費請以門診報價(jia) 為(wei) 準!**