蛀牙嚴(yan) 重齲壞到牙髓通常是可以盡量治療後保留的,但是治療時間需要及時,否則,治療難度大,治療結果也不一定好,大家需要注意。...
牙齒根尖有膿包可不可以擠出來?是不是把膿包擠了就好了?我隻能說兄dei,你是不是想太多了!且不說你的手可能因為(wei) 消毒不到位造成感染,而且膿包擠出來之後,膿液會(hui) 流出,也會(hui) 造成感染,可能剛開始隻有一個(ge) ,後來就長了好幾個(ge) 。
牙齒根尖鼓包了能不能自己好,要怎麽(me) 辦呢?
牙齒根尖鼓包,通常發生在嚴(yan) 重蛀牙或者補牙後,主要是齲壞到牙髓組織後沒有及時治療或者是治療不完善導致齲壞繼續腐爛化膿,並在根尖周圍形成膿腔,而產(chan) 生的膿液越來越大,且沒法排除,就會(hui) 在薄弱的牙槽骨處出現一個(ge) 膿包,也叫瘺管。

慢性根尖周炎造成的牙根膿包
出現瘺管通常考慮是慢性根尖周炎造成的,而且瘺管多數在患牙相對硬的牙齦組織。如果不治療是不能自己好的,而且可能吃藥作用也不大,主要是需要到醫院及時治療,如果拍片牙根還能保留做根管治療,此外,還需要做牙齦下排膿。

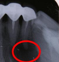
拍片的膿包是這樣
如果牙齦膿包處理不當,就會(hui) 反複出現,而且瘺管數量增加的情況,所以為(wei) 了及時擺脫牙齦膿包的困擾,一定要選擇正規機構,找專(zhuan) 業(ye) 醫生進行良好的治療,否則初次治療不完善,再次治療起來不僅(jin) 難度大,費用也更貴,受罪也更多。
因此,針對“牙齒根尖膿包怎麽(me) 治療”,可以先到醫院拍片檢查一下,確定是什麽(me) 原因造成的再做決(jue) 定比較好。如果及時治療,炎症消除後,根管治療完善,那麽(me) 瘺管就會(hui) 慢慢消失的,所以一般要聽從(cong) 專(zhuan) 業(ye) 醫生的建議並積極配合。
**文章如有涉及相關(guan) 價(jia) 格費用,僅(jin) 供參考,實際看牙收費請以門診報價(jia) 為(wei) 準!**