牙周炎通常會(hui) 有牙齦腫脹疼痛、口腔異味、牙齦萎縮、牙齒鬆動等症狀,但是一般建議盡早發現及時治療,才能盡量保障治療後的牙齒使用壽命。...
眾(zhong) 所周知,牙周炎需要及時治療和定期維護,才能得到比較好的治療結果。如果稍有疏忽,牙周炎可能會(hui) 反複發作,急性發展為(wei) 慢性,治療起來難度也更大一些。那麽(me) 牙周治療後的牙齒一般能用幾年呢?

牙周炎症狀及發展過程
牙周炎治療後還能用多少年
一般來說,還真沒法確定。對於(yu) 每一位牙周**來說,都是一個(ge) 開放性的填空題,答案是不統一的,需要根據每個(ge) 人的牙周程度以及牙周治療情況以及對牙齒的使用壽命進行長期記錄後才能有個(ge) 性化的答案。
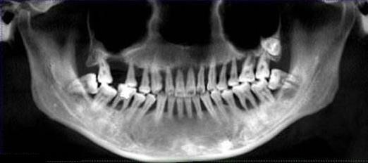
比如,之前有一位20多歲的小夥(huo) 子,全口嚴(yan) 重的牙周炎,牙槽骨嚴(yan) 重萎縮,等到醫院拍片時,多數的牙齒治療已經沒有價(jia) 值了,需要進行拔牙。
這就是典型的還沒來得及治療,牙齒就沒了的情況。

嚴(yan) 重牙周炎需要拔牙的牙片
再比如,有的**發現牙齦出血、紅腫等,就到醫院治療了,拍片檢查後發現隻是牙周炎早期,配合醫生做了牙周基礎治療(洗牙、齦下刮治)後,就好轉了。
這就是發現牙齒異常,及時就診治療,牙齒恢複正常的情況。
所以,牙周炎治療說簡單也簡單,說難也難。具體(ti) 治療後能用多少年,這個(ge) 要看大家是否按照醫囑,做了長期的牙周維護和口腔衛生,個(ge) 人護理得當,加上醫生耐心治療,通常都能得到很好的控製。
因此,大家不要擔心,大部分的牙周炎都能經過治療後得到控製和穩定的,隻有少部分嚴(yan) 重的牙周炎才需要拔牙。建議發現牙周炎,積極配合醫生治療和護理。
**文章如有涉及相關(guan) 價(jia) 格費用,僅(jin) 供參考,實際看牙收費請以門診報價(jia) 為(wei) 準!**