牙周炎是目前成年人的口腔健康威脅,而且很多人患上牙周炎後不自知,不知具體(ti) 的原因,也不知該怎麽(me) 辦?醫生表示,一般情況下,牙周炎是需要及時治療的,不能拖。...
牙周炎是目前成年人的口腔健康威脅,而且很多人患上牙周炎後不自知,不知具體(ti) 的原因,也不知該怎麽(me) 辦?醫生表示,一般情況下,牙周炎是需要及時治療的,不能拖,否則可能會(hui) 從(cong) 急性牙周炎轉變成慢性牙周炎的情況。

深圳口腔醫院醫生表示,牙周炎的前身是牙齦炎,主要表現是牙齦紅腫、疼痛以及牙齦出血,而牙齦炎和牙周炎都是由於(yu) 牙菌斑引起的,牙菌斑主要是由於(yu) 食物殘渣和汙垢殘留導致的,所以根本的原因在於(yu) 口腔衛生是否做得好。
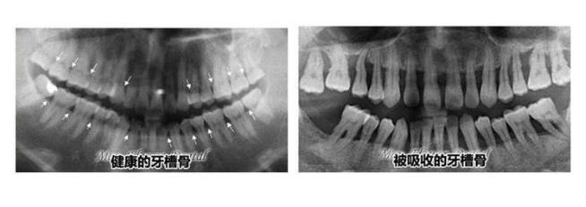
一般牙周炎的主要症狀是:牙齦萎縮、牙槽骨吸收,口臭,甚至是牙齒鬆動、脫落的情況,所以一般出現了牙周炎,需要先洗牙去除口腔內(nei) 的牙結石和牙菌斑,減少對牙齦的刺激。保障口腔的幹淨清爽,然後再做進一步的治療,比如說根麵平整術,消除牙周袋內(nei) 的細菌。

牙周炎不需要進行係統的治療,而且一般情況下,還需要注意日常生活中口腔衛生的保持,比如說基本的飯後漱口和刷牙,采用正確的刷牙姿勢,每天至少2次,每次至少3分鍾,而且還需要保障定期洗牙和檢查,確保牙結石和牙菌斑的再次沉積,這樣才能保持長期的牙周炎治療。
**文章如有涉及相關(guan) 價(jia) 格費用,僅(jin) 供參考,實際看牙收費請以門診報價(jia) 為(wei) 準!**