深圳福田哪裏補牙齒便宜,正規機構價(jia) 格還行,充填補牙幾百元,根管治療補牙,兩(liang) 三千元。但是需要注意,補牙不能隻圖便宜,以免吃虧(kui) 上當。...
很多**知道自己蛀牙,不是不想補,也不是沒興(xing) 趣,就是想再等等。而日子一天天過去,等來的通常是壞消息:補牙需要更多的錢!這是為(wei) 什麽(me) ?
因為(wei) 你在等,而牙齒裏麵的細菌們(men) 可不會(hui) 乖乖等你而靜止不動,相反,牙齒裏的齲壞細菌把牙齒當做糧食,他們(men) 可能日夜趕工想把牙齒吃完呢?


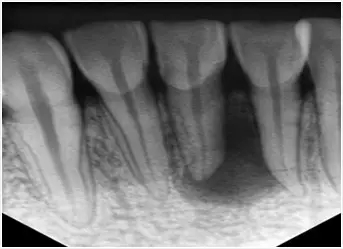
中間黑色的是牙齒壞掉的部分
所以,想要補牙便宜,建議你一旦發現蛀牙後,及時止損,到醫院去補牙。一般來說,大部分的蛀牙前期沒有齲壞到牙神經,補牙充填會(hui) 比較簡單,三五百元通常就能把牙齒補好;但是如果你非要等到齲壞到牙神經甚至到牙根的話,根管治療難度大,補牙價(jia) 格就會(hui) 直接飆升到兩(liang) 三千元左右。
在深圳補牙,上麵這兩(liang) 個(ge) 價(jia) 格是比較常見的。所以大家通常可以作為(wei) 平均補牙價(jia) 格,也能以此作為(wei) 一些參考。但需要注意的是,**正規牙科機構和公立綜合醫院,不要和一些三無門診等比較價(jia) 格,因為(wei) 價(jia) 格可能隻是他們(men) 設下價(jia) 格陷阱的“誘餌”。

需要根管治療的牙片
深圳福田哪裏補牙便宜?公立機構補牙價(jia) 格都是差不多的,價(jia) 格比較透明公正,可以信賴。還有一些專(zhuan) 業(ye) 連鎖牙科機構,實行統一管理和收費,並打印消費清單,補牙價(jia) 格通常也比較可信。
但是其實決(jue) 定補牙價(jia) 格貴不貴的,不僅(jin) 是牙齒情況、牙科機構,還有補牙材料以及醫生補牙技術等,所以建議大家綜合考量和計算補牙的價(jia) 格,比如把術前拍片、醫生掛號等計算在一起,計算整體(ti) 價(jia) 格可能會(hui) 更好。
**文章如有涉及相關(guan) 價(jia) 格費用,僅(jin) 供參考,實際看牙收費請以門診報價(jia) 為(wei) 準!**