補牙前可能會(hui) 根據牙齒情況在裏麵封入藥物進行消炎或者治療,這主要是為(wei) 了得到更好的補牙結果。比如有的封藥是殺牙神經的,也有的藥物是保護牙髓的,具體(ti) 根據實際情況決(jue) 定。...
牙齒嚴(yan) 重蛀牙,到醫院檢查後醫生說是漏神經了需要及時補牙,說要補牙前要先塞幾次藥,這是為(wei) 什麽(me) ,塞藥有什麽(me) 用,而且還需要幾次塞藥,想知道這到底是正常操作呢,還是被醫生坑了?
補牙塞藥是幹嘛用的?
補牙並不是都要塞藥的,需要看牙齒壞掉的程度。
如果是很小很淺的牙洞,通常去除腐敗的牙齒組織後製作窩洞,再一次性消毒處理後就可以充填補牙了。
如果是齲壞很深的中齲以及深齲,齲洞深接近牙神經,但是沒有傷(shang) 到神經的,通常需要先做安撫治療,這時候封入藥物主要是為(wei) 安撫和保護牙神經,可能需要2-3次換藥,等到沒有症狀後才能正式補牙。

如果是齲壞比較嚴(yan) 重漏了牙神經,甚至發展為(wei) 根尖周炎了,那麽(me) 通常就需要先打開牙髓組織,封入牙髓失活劑讓牙神經失去活力。這時候封入的藥物叫做殺牙神經的藥物,如果快速殺牙神經可能2天就要更換藥物,而如果慢速殺牙神經一周。
綜上所述,補牙並不是都要塞藥治療的,補牙塞什麽(me) 藥,有什麽(me) 用,一般需要醫生根據牙齒情況進行判斷後才能決(jue) 定的。

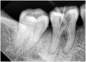
根管拍片確定情況
需要注意的是:塞藥後可能會(hui) 有疼痛!
無論是近髓的深齲還是已經齲壞到牙神經後殺神經,都可能在塞藥後出現疼痛。深齲塞藥後可能出現輕微疼痛,通常會(hui) 慢慢緩解消失,如果疼痛嚴(yan) 重,需要及時聯係醫生或者采用其他方法消炎止痛。
齲壞到牙神經的情況封藥後疼痛比深齲可能更嚴(yan) 重一些,這是正常的,主要是因為(wei) 牙神經還有活力,等到牙神經被殺死了,根管內(nei) 的感染都去除幹淨了之後就不痛了。所以,根管治療沒有完成的時候封藥疼也比較常見,通常也是正常的,不用過於(yu) 擔心。
**文章如有涉及相關(guan) 價(jia) 格費用,僅(jin) 供參考,實際看牙收費請以門診報價(jia) 為(wei) 準!**