很多患者在補牙時被告知需要拍片就不理解了:不就是補一個(ge) 牙嗎?這也有必要拍片嗎?深圳牙科醫院醫生表示,別看一張牙齒小片子,它起的作用卻是非常大的,它可以讓治療變得精確、快捷。別擔心,一般是花不了多少錢的。...
很多**在補牙時被告知需要拍片就不理解了:不就是補一個(ge) 牙嗎?這也有必要拍片嗎?深圳牙科醫院醫生表示,別看一張牙齒小片子,它起的作用卻是大的,它可以讓治療變得精確、快捷。別擔心,一般是花不了多少錢的。

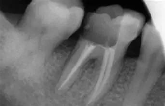
補牙拍片
深圳愛康健口腔醫院醫生表示蛀牙也並不是直接就能從(cong) 口中直觀的看出蛀牙的嚴(yan) 重程度的,因為(wei) 很多表麵上看隻有一個(ge) 很小的黑色斑點,但是裏麵被蛀掉的牙齒組織多,所以不能隻憑肉眼來進行判斷的,需要通過拍片來精準的評估,才能保障補牙的結果。

一般來說,比較輕微的齲壞,臨(lin) 床經驗豐(feng) 富的補牙醫生一般是不用拍片子的,很直觀就能看到大致的症狀,但是也有意外的情況,還有對於(yu) 齲壞較深一般情況比較複雜,需要拍片子來確認齲壞程度、麵積大小,以及是否傷(shang) 害到要牙神經和牙根尖組織等。
再者說,如果是已經傷(shang) 害到牙神經的情況,如果需要根管治療,是一定要拍片子的,需要清晰的片子來指導完成顯微鏡下根管治療。而且有的嚴(yan) 重的齲壞,做根管治療一般是需要拍幾次牙片的,比如在治療前,以及每一次複診都是需要拍片查看根管治療的結果的,隻有嚴(yan) 格監督結果,才能保障補牙的結果,所以補牙拍牙片是必要的。
**文章如有涉及相關(guan) 價(jia) 格費用,僅(jin) 供參考,實際看牙收費請以門診報價(jia) 為(wei) 準!**