純鈦烤瓷牙的內(nei) 冠材料是純鈦,是屬於(yu) 貴金屬,所以說不少人擔心做了純鈦烤瓷牙以後就不能做核磁共振了,。醫生表示,其實不是這樣的,純鈦烤瓷牙的內(nei) 冠材料不是普通的金屬,是屬於(yu) 相容性很好的無磁性金屬...
純鈦烤瓷牙的內(nei) 冠材料是純鈦,是屬於(yu) 貴金屬,所以說不少人擔心做了純鈦烤瓷牙以後就不能做核磁共振了,。醫生表示,其實不是這樣的,純鈦烤瓷牙的內(nei) 冠材料不是普通的金屬,是屬於(yu) 相容性很好的無磁性金屬,所以是沒有影響的。

為(wei) 什麽(me) 金屬對核磁共振有影響
深圳牙科醫生介紹到,核磁共振是有一個(ge) 強大的磁場的,有磁性的東(dong) 西都不建議帶進檢查室。如果有金屬就會(hui) 幹擾核磁檢查的結果,甚至是發生危害。而如果是口腔內(nei) 有假牙的情況,一般是需要看按照假牙的材料來確定的。
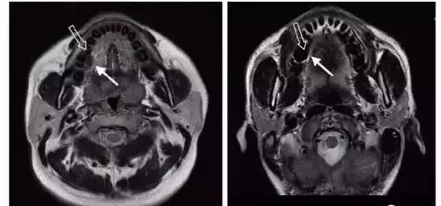
如果是口腔的金屬修複體(ti) ,會(hui) 影響到腦部、頸部、麵部等部位的成像結果,也就是在片子上會(hui) 有一個(ge) 黑色的偽(wei) 影,而這個(ge) 偽(wei) 影可能會(hui) 影響醫生進行正確的判斷,純鈦烤瓷牙無磁性,可以透X光,所以是沒有的多大影響的,所以不用擔心,但是材料必須是正規的純鈦,而不是鈦合金材料。

所以建議大家如果牙齒情況和經濟情況都比較適合的情況下,做烤瓷牙**先選擇不含金屬全瓷牙和貴金屬烤瓷牙比較好,這鞋材料不僅(jin) 生物相融性好,不會(hui) 出現過敏刺激等情況,也不會(hui) 對以後的身體(ti) 醫學檢查產(chan) 生影響,但是即便是金屬烤瓷牙,可能也是不需要拆卸的,需要提前告知工業(ye) 人員,並征求處理意見。
更多牙科知識請關(guan) 注愛康健官網:www.hiphopshopdj.com
**文章如有涉及相關(guan) 價(jia) 格費用,僅(jin) 供參考,實際看牙收費請以門診報價(jia) 為(wei) 準!**