嵌體(ti) 補牙和普通補牙的差別,不僅(jin) 是方式、材料,還有價(jia) 格,結果等方麵也有不同,那麽(me) 嵌體(ti) 補牙價(jia) 格和普通補牙差很多嗎,接下來我們(men) 詳細了解一下。...
補牙,不就是把牙洞填補好就行了嗎?此言差矣。現如今,補牙早已不再是隻需要把牙齒充填完整的時代了,而需要把牙齒功能與(yu) 美觀於(yu) 一體(ti) 才行。因此無論是補牙材料還是補牙方式都得到了長足的發展。
尤其是比較潮流的瓷嵌體(ti) 補牙,由於(yu) 其美觀和獨特的補牙方式得到了不少醫生和**的推崇,那麽(me) 瓷嵌體(ti) 和普通補牙到底有什麽(me) 區別,我們(men) 今天來詳細了解一下。

嵌體(ti) 取模
瓷嵌體(ti) 補牙vs普通補牙
**回合之方式:瓷嵌體(ti) 補牙通常是把齲壞牙齒組織去除,對牙齒缺損部分取模,製作整塊的修複體(ti) ,然後粘接到牙齒上;而普通補牙則是采用樹脂等流動液體(ti) 充填到牙洞,再使用關(guan) 照使材料固化變硬。
從(cong) 這一回合來看,嵌體(ti) 補牙由於(yu) 材料和方式,可以避免普通補牙充填不到位以及材料收縮產(chan) 生縫隙或者脫落等問題。

嵌體(ti) 加工製作成各種樣子
第二回合之價(jia) 格:瓷嵌體(ti) 補牙采用的材料是瓷,價(jia) 格一般要兩(liang) 三千元,而普通補牙采用的是樹脂、玻璃離子等,價(jia) 格隻需要兩(liang) 三百元左右。
從(cong) 這一回合看,瓷嵌體(ti) 價(jia) 格比較高,適合一些追求精致的人群;而普通補牙價(jia) 格比較親(qin) 民,符合追求經濟實用的**。

樹脂充填補牙
第三回合之結果:嵌體(ti) 補牙後脫落率小一些,而且整體(ti) 美觀度更勝一籌,還能盡量保留剩餘(yu) 牙齒組織;而且單單從(cong) 補牙後保修年限來看也不一樣,瓷嵌體(ti) 補牙一般保修時間在三五年左右,而普通補牙能保修一年就不錯了。
從(cong) 結果來看,瓷嵌體(ti) 可不是徒有虛名的,臨(lin) 床補牙使用越來越廣泛,而且**也越來越多。
第四回合之材料:瓷嵌體(ti) 補牙用的是瓷,而普通補牙可能是樹脂、玻璃離子等,因此,材料的顏色方麵,瓷更接近牙齒本來顏色一些;常見的補牙材料會(hui) 有材料收縮,補牙後不密合,造成齲壞,材料脫落、反複充填可能會(hui) 造成缺損越來越大,而瓷材料性能穩定,嚴(yan) 密取模製作,可以和牙齒很好結合在一起。
從(cong) 這個(ge) 方麵來看,瓷材料還是比普通材料性能更好、更為(wei) 穩定耐用一些。如果經濟情況較好,盡量做瓷嵌體(ti) 補牙比較好。

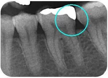
瓷嵌體(ti) 補牙拍片可見,和牙齒邊緣密合度好
總的來說,打了幾個(ge) 回合,瓷嵌體(ti) 補牙和普通補牙到底哪個(ge) 好,不能一言一概之,臨(lin) 床上需要根據**的牙齒情況和需求來確定。如果**采用普通樹脂補牙難度大,補牙後材料容易脫落,建議可以選擇瓷嵌體(ti) 補牙;當然,如果隻是常規的簡單情況,采用普通補牙結果也不錯。
**文章如有涉及相關(guan) 價(jia) 格費用,僅(jin) 供參考,實際看牙收費請以門診報價(jia) 為(wei) 準!**