那麽(me) 牙齒壞了,怎麽(me) 補?傳(chuan) 統的補牙方法就是把蛀的部分磨掉,然後再補上材料,後進行拋光。但那種麵積較大的齲壞和特殊部位的齲壞進行補牙也不耐用,現在就有另外一種補牙方法--嵌體(ti) 。...
牙齒是人體(ti) 上較堅硬的組織,他不像我們(men) 身體(ti) 上其他的組織,如果壞了,可以自行修複。牙齒壞掉了,如果不及時把壞的地方修補上的話,牙齒不會(hui) 自行愈合的。時間長了一定會(hui) 壞到牙齒的神經,一定會(hui) 讓你痛的睡不著覺的。
那麽(me) 牙齒壞了,怎麽(me) 補?傳(chuan) 統的補牙方法就是把蛀的部分磨掉,然後再補上材料,然後進行拋光。傳(chuan) 統方法方便快捷,能一次完成,但在由於(yu) 因為(wei) 傳(chuan) 統的補牙是在口內(nei) 一次性完成的,整個(ge) 的操作過程受到口腔唾液,以及醫生在口腔內(nei) 操作空間太小等等一些客觀的,並且很難避免的因素的影響,使得補上去牙齒壽命不長,很可能引發脫落和繼發齲。而且像那種麵積較大的齲壞和特殊部位的齲壞進行補牙也不耐用,現在就有另外一種補牙方法--嵌體(ti) 。

這項治療技術其實曆史也很久遠,在歐美以及日本等國家比較常見。但是在中國因為(wei) 一些具有中國的因素影響,沒能在臨(lin) 床上廣泛的推廣。近些年,隨著人們(men) 生活水平的提高,以及對口腔保健意識的提高,嵌體(ti) 漸漸在臨(lin) 床的治療中普遍開來。同時使用過嵌體(ti) 的**,他們(men) 也漸漸認識到了嵌體(ti) 對牙齒硬組織的保留上顯現出來它獨特的優(you) 勢
嵌體(ti) 和傳(chuan) 統的補牙不同之處是,嵌體(ti) 是在口外石膏模型上由專(zhuan) 門的牙科技師製作出來的,然後再由臨(lin) 床醫生將其戴入**口內(nei) ,粘固形成的。
嵌體(ti) 的優(you) 點就在於(yu) ,它的整個(ge) 的製作過程中完全避免了在口腔內(nei) 部操作的幹擾因素。這就使得嵌體(ti) 的製作比傳(chuan) 統的補牙要更精細。技師在製作嵌體(ti) 的時候,會(hui) 控製它與(yu) 牙體(ti) 的彌合程度,這樣就盡可能的避免了牙齒在日後的使用中再次出現齲壞。
嵌體(ti) 的另一個(ge) 優(you) 點是,因為(wei) 它的整個(ge) 製作過程是在口外完成的,所以它還可以很好的恢複原來牙齒的外形,恢複原來牙齒的咀嚼效率。而這一點,是傳(chuan) 統補牙無論如何都無法比擬的


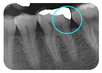
從(cong) 下麵這張X線中可以看出,嵌體(ti) 遠中邊緣沒有懸突,與(yu) 牙體(ti) 邊緣密合相接。

**文章如有涉及相關(guan) 價(jia) 格費用,僅(jin) 供參考,實際看牙收費請以門診報價(jia) 為(wei) 準!**