烤瓷牙壞了還能裝種植牙嗎?這是讓很多網友糾結的事情。烤瓷牙的基牙是真牙牙根,而種植牙的牙根是人工牙根。當然是要盡量保留真的牙根了。...
網友谘詢:幾年前做了烤瓷牙,當時種植牙還不是很成熟,沒敢做。現在烤瓷牙正好出現問題了,不知道還能不能做種植牙了?
這種情況,需要醫生麵診,根據烤瓷牙現狀作出相關(guan) 評估才行。

天然牙與(yu) 種植牙
烤瓷牙壞了,能種植牙嗎
烤瓷牙壞了怎麽(me) 修複看牙根情況。畢竟烤瓷牙使用的真牙牙根,而如果需要做種植牙的話,是要拔除真牙牙根,植入人工牙根的,而人工牙根哪有自己的牙根好。
為(wei) 什麽(me) 有的**烤瓷牙出現繃瓷等情況了,醫生會(hui) 建議繼續做烤瓷牙修複呢?因為(wei) 烤瓷牙是真牙牙根,而醫生對真牙很珍惜,但凡是真牙組織還能保留繼續使用的,就不會(hui) 輕言放棄。所以如果牙根還能繼續用,就聽醫生醫囑,繼續烤瓷牙修複吧。
如果烤瓷牙裏麵的基牙壞掉嚴(yan) 重,牙根也無法保留了,需要拔牙的話,則可以考慮去除烤瓷牙後,在牙齒缺失的位置做種植牙。

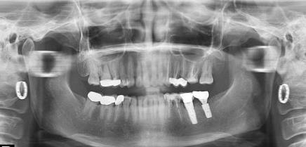
後牙種植牙
還有,烤瓷牙壞了,能不能種牙其實還要看牙周情況,牙槽骨情況。如果全口牙周條件好,牙槽骨骨量充足,通常則不用擔心什麽(me) 問題。但是如果有嚴(yan) 重牙周病,而且牙槽骨萎縮嚴(yan) 重,則可能需要麵臨(lin) 牙周治療、植骨等重重的考驗之後才能確定是否達到種植牙的標準。
那麽(me) 烤瓷牙反正都會(hui) 壞掉,如果烤瓷牙後悔了不如直接拆掉烤瓷牙,拔除牙根,直接做種植牙!這是不少網友的想法,而實際上,醫生們(men) 通常不會(hui) 采取這樣的方法,因為(wei) 真牙和假牙沒法比,哪怕是和真牙很相似的種植牙,也隻是相似,而不是真牙!因此,建議大家也需要有這種盡量保護口內(nei) 真牙的意識,不要盲目做種植牙修複,否則適得其反。
**文章如有涉及相關(guan) 價(jia) 格費用,僅(jin) 供參考,實際看牙收費請以門診報價(jia) 為(wei) 準!**