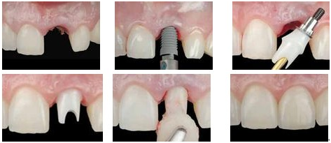
雖然牙齒是我們(men) 身體(ti) 不能缺少的一部分,但是很多人卻往往忽略了它,不好好保護它,愛惜它,後早早讓其夭折了,不過還好,種植牙技術的出現給缺牙患者帶來了希望,但是有許多患者在得知種植牙價(jia) 格的時候,卻無法接受,認為(wei) 太貴了,不能接受...
雖然牙齒是我們(men) 身體(ti) 不能缺少的一部分,但是很多人卻往往忽略了它,不好好保護它,愛惜它,然後早早讓其夭折了,不過還好,種植牙技術的出現給缺牙**帶來了希望,但是有許多**在得知的時候,卻無法接受,認為(wei) 太貴了,不能接受,尤其是即刻種植牙的價(jia) 格就更貴了,接下來愛康健牙醫就跟大家說說影響即刻種植牙價(jia) 格的因素。

影響即刻種植牙價(jia) 格的因素
1、根據**的自身狀況的影響和所需種植牙的數量等:比如,**的口腔狀況良好,需要做一顆種植牙就可以,但是有的**缺失的牙數量較多,則需要做幾顆多顆種植牙,那價(jia) 格自然就會(hui) 不一樣的。所以,**的自身狀況和種植牙樹齡等這些,都是影響種植牙費用的因素中起決(jue) 定性的一種。
2、醫師技術水平:做即刻種植牙一定要選擇正規的口腔醫院,對於(yu) 同一個(ge) 地域,同一家醫院來說,醫生也是決(jue) 定一個(ge) 因素,醫生的技術水準,也是可以決(jue) 定價(jia) 格的,有的醫生技術好的,它們(men) 的價(jia) 格就不同,醫生技術稍微差的,他們(men) 的價(jia) 格也就有所不同。醫生的技術主要就是經驗和知識的,這樣價(jia) 格就不同了。
3、種植**的護理有關(guan) :有的時候護理也被考慮為(wei) 影響價(jia) 格的一個(ge) 方麵,雖然有的護理是優(you) 惠的,但是不同的服務就有不同的價(jia) 格,有的服務價(jia) 格很便宜,比如定期拍牙片,有的服務就比較貴一點,比如洗牙等。
看完上麵的介紹,相信大家一定明白了即刻種植牙價(jia) 格高的原因了吧?其實仔細算下,如果種植牙保護的好,可以伴隨您終生的,性價(jia) 比相對於(yu) 其他的修複方式還是蠻高的,而且種植牙給人帶來的舒適感與(yu) 美觀度也是不同的啊,所以如果經濟情況許可的話,就不要心疼那點錢了。
**文章如有涉及相關(guan) 價(jia) 格費用,僅(jin) 供參考,實際看牙收費請以門診報價(jia) 為(wei) 準!**