種植牙複診需要做什麽(me) 項目,費用是多少,貴不貴?種植牙後複診主要就是拍片檢查,費用很少,一般大家可以放心。而且為(wei) 了種植牙長期的結果,很值得。...
很多人都喜歡做一錘子買(mai) 賣,幹淨利落。而實際上,在牙科治療中,能長期得到不錯的結果的卻不是一錘子買(mai) 賣的人,而是在治療完成後還繼續複診檢查牙齒情況,並聽從(cong) 醫生醫囑和建議的人。

尤其是做完種植牙這種牙科項目之後的1/3/6/12個(ge) 月,應該注意養(yang) 成定期到醫院複診,那麽(me) 種植牙複診是做什麽(me) ?需要這麽(me) 頻繁嗎?
種植牙複診通常主要是醫生麵診檢查種植牙周圍組織的情況,並綜合牙片以及術後反應等了解以及評估人工牙根植入到牙槽骨的結合情況。如果正常,則通常不需要做什麽(me) 處理,如果有突發情況,醫生需要及時判斷處理。
對於(yu) 這個(ge) 複診頻率的事情,剛開始做完可能容易出現的問題多一些,需要更為(wei) 嚴(yan) 密的觀察種植牙後的情況,等到**完全習(xi) 慣後,就能慢慢減少複診次數,通常是一年後就隻需要每年複診檢查一次就可以了。

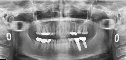
種植牙複診拍片
種植牙複診時需要拍片嗎?
種植牙複診一般都需要拍片的,主要是因為(wei) 種植牙的人工牙根是植入到牙槽骨裏麵的,肉眼無法的查看人工牙根在裏麵的情況,隻能通過牙片把人工牙根和牙槽骨的情況展現出來,查看種植體(ti) 是否有鬆動或者炎症等情況。
再者說了,種植牙複診拍片一般也就一兩(liang) 百元左右,大家是不用擔心價(jia) 格的。相比種植牙上萬(wan) 元的費用,花一兩(liang) 百元檢查和鞏固種植牙的情況,是值得的,不要舍不得。當然也不要以忙為(wei) 借口,否則種植牙情況不好,還會(hui) 徒增更多煩惱。
那種植牙複診是不是需要到之前的醫院做?一般都是如此建議的,因為(wei) 你之前就診的牙科機構的種植牙醫生是比較了解你的基礎牙齒情況和種植牙後的情況的。建議到原來的醫院複診,醫生也能根據目前的種植牙情況預測是否會(hui) 有異常情況,並及時給出種植牙護理建議,有利於(yu) 鞏固和維持種植牙的長遠穩定的結果。
**文章如有涉及相關(guan) 價(jia) 格費用,僅(jin) 供參考,實際看牙收費請以門診報價(jia) 為(wei) 準!**