很多患者表示不理解,種植牙不就是把一個(ge) 牙根放進牙床裏嗎?這還需要什麽(me) 種植牙方案嗎?深圳牙科醫院醫生表示,正規專(zhuan) 業(ye) 的種植牙醫生一般是需要做種植牙方案的,因為(wei) 隻有做好治療方案,才能進行有條不紊的治療,而且有的患者需要幾套方案進行選擇。...
很多**表示不理解,種植牙不就是把一個(ge) 牙根放進牙床裏嗎?這還需要什麽(me) 種植牙方案嗎?深圳牙科醫院醫生表示,正規專(zhuan) 業(ye) 的種植牙醫生一般是需要做種植牙方案的,因為(wei) 隻有做好治療方案,才能進行有條不紊的治療,而且有的**需要幾套方案進行選擇。

為(wei) 什麽(me) 要做種植牙方案?
深圳愛康健種植牙醫生表示,一個(ge) 專(zhuan) 業(ye) 負責任的醫生是會(hui) 根據多年的專(zhuan) 業(ye) 經驗告知**多種種植牙方案和選擇的,這就是所謂的種植牙方案了,一般情況下,一整套詳細的種植牙治療過程可以讓醫生嚴(yan) 格的把握好進度。還有可以讓**有選擇,從(cong) 而做出性價(jia) 比高、結果好的種植牙。

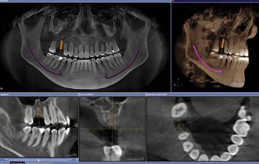
一般情況下怎麽(me) 製定種植牙方案呢,較基本的是**的牙齒情況,通常需要通過拍攝CT掃描診斷,精確了解您的牙齒、牙槽骨情況、血管神經狀況。透過電腦模擬立體(ti) 影像,評估是否適合進行即刻種植牙(即拔即種,即種即食)、微創種植牙(創口小恢複快)、激光種植牙或者傳(chuan) 統種植牙,此外,還可以判斷是否需要進行鼻竇增高術、骨增量術(補骨粉)等,如此擬定完整治療計劃,才有明確的治療方案選擇。
還有製定一個(ge) 比較完整的種植牙方案,有利於(yu) 和**實現更好的溝通,因為(wei) 種植牙過程中需要做的檢查項目等都是可以進行有效判斷的,這樣還有利於(yu) 得到一個(ge) 種植牙的過程詳解以及種植牙相關(guan) 費用的介紹,這是很多**都想要了解的東(dong) 西,所以製定完整詳細的種植牙方案是有必要的。
**文章如有涉及相關(guan) 價(jia) 格費用,僅(jin) 供參考,實際看牙收費請以門診報價(jia) 為(wei) 準!**