孩子外傷(shang) 磕鬆了牙齒不嚴(yan) 重吧?其實嚴(yan) 不嚴(yan) 重,並不是是否鬆動可以查看的,需要到醫院醫生綜合外傷(shang) 牙齒的牙冠、牙根情況以及牙神經情況來確定的。...
孩子難免會(hui) 出現磕磕碰碰,牙齒磕鬆動了、磕掉了等情況。一般來說,都會(hui) 建議大家磕到牙齒要積極找醫生處理。但是不少家長認為(wei) ,牙齒隻是鬆了,會(hui) 自己長好的,可以不用管,這是真的嗎?

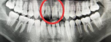
孩子門牙受外傷(shang) 後牙根變短了
孩子摔跤把牙齒磕鬆了,不用去醫院吧?大錯特錯!
一般來說,孩子牙齒受外傷(shang) 後牙齒受外傷(shang) 後輕重都要及時到醫院檢查就診處理。
牙齒外傷(shang) 通常需要及時到醫院拍片檢查牙齒情況,確定是否傷(shang) 及神經,以及是否需要做鬆牙固定等處理,還需要確定牙槽骨的等情況。
如果牙齒隻是磕鬆了,沒有出現牙冠缺損、牙根折斷,也沒有傷(shang) 到牙齦以及嘴唇等情況,牙齒外觀良好,而且拍牙片後無大礙,通常醫生會(hui) 建議可以先觀察一段時間,看是不是可以自行好轉恢複。

牙根折斷
牙齒外麵好好的,裏麵就沒啥問題啊,誰告訴你的?
牙齒外在沒有出現表現和症狀,不代表裏麵沒有出現問題,如果是牙神經受創傷(shang) 後,不能恢複好轉,可能會(hui) 埋下“牙髓炎”的種子,急性發作出現疼痛,甚至慢慢發展為(wei) 慢性牙髓炎,沒有明顯症狀,容易被忽略。
加上孩子通常無法正確表達自己的情況,等到慢性牙髓炎繼續發展,就會(hui) 下行到牙根,形成根尖周炎,從(cong) 而破壞牙根周圍的牙槽骨。這樣一來牙齒賴以生存的“土壤”就會(hui) 慢慢流失,從(cong) 而出現牙齒鬆動,甚至脫落的情況。這就是很多人外傷(shang) 後沒有及時處理,後期出現牙齒鬆動的不解之謎。
因此,牙齒外傷(shang) 並不是說牙齒要磕斷或者是牙齒磕掉脫落才是嚴(yan) 重的,具體(ti) 嚴(yan) 重與(yu) 否,需要醫生檢查拍片後才說了算,家長們(men) 不要自作主張,以免落下“後遺症”,徒增孩子的痛苦。
**文章如有涉及相關(guan) 價(jia) 格費用,僅(jin) 供參考,實際看牙收費請以門診報價(jia) 為(wei) 準!**