到醫院拍個(ge) 牙片是不是不需要多少錢,不是說拍ct片很貴嗎?ct片相對於(yu) 其他的x光片來說,價(jia) 格是會(hui) 相對貴一些,但通常也在三四百元左右,所以不用過於(yu) 擔心。...
目前,由於(yu) 大部分年輕人對於(yu) 自己的牙齒重視程度不夠,牙齒會(hui) 經常疼痛、發炎,甚至鬆動脫落。而自己又是非專(zhuan) 業(ye) 人士,想要了解牙齒的詳細情況,還是得到正規醫院找醫生檢查才行。

牙齒全景片,可以看到全口牙齒的情況
很多人都說,我就是想去醫院拍個(ge) 片,了解一下目前的牙齒情況是什麽(me) 樣的,可能先不做治療,這樣的話需要多少錢,擔心牙科拍個(ge) x光片或者是ct片價(jia) 格太貴了。
去醫院拍牙片檢查一下多少錢
大家不用有這樣的擔憂,單純的拍x光片檢查牙齒情況花不了多少錢的。目前牙科x光片通常有根尖片(小牙片)、全景片,以及ct片(分小範圍和大範圍),價(jia) 格從(cong) 幾十塊到三四百元左右不等。因此,這些費用是大家都能支付得起的。
當然了,為(wei) 了確診牙齒具體(ti) 情況,醫生可能會(hui) 要求拍多個(ge) 牙片,可能在上麵的基礎上,還需要拍頭顱側(ce) 位x光片、頭顱正位x光片,價(jia) 格一般單個(ge) 也在一兩(liang) 百元左右,所以大家是可以放心的。

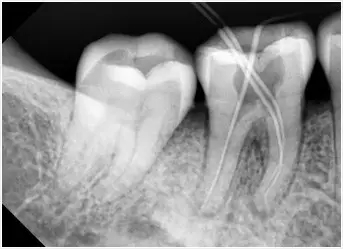
根尖片,隻能看到一兩(liang) 顆牙齒的情況
去醫院拍牙片能用醫保嗎
一般來說,每個(ge) 地方醫保政策有差異,所以能不能用醫保卡也有差異。有的地方是可以的,但是的有的地方不行。建議詳細谘詢當地的醫院比較好。
不過,目前來看,如果醫保個(ge) 人賬戶有餘(yu) 額,就是可以直接刷醫保卡支付的。
溫馨提示:牙片拍完後注意及時就診進行治療,因為(wei) 現在拍的牙片隻能說明近期的牙齒情況,如果長時間不就診治療,下次就診可能需要重新拍片的,這就相當於(yu) 浪費了一筆檢查的費用,而且拖著不及時處理,牙齒問題容易更嚴(yan) 重,治療費用也會(hui) 更貴,很不劃算的。
**文章如有涉及相關(guan) 價(jia) 格費用,僅(jin) 供參考,實際看牙收費請以門診報價(jia) 為(wei) 準!**