盡頭牙大部分都需要拔除,這是大量臨(lin) 床案例證明的,不是瞎扯。所以建議還不知道自己有沒有智齒或者是知道了還不知道要不要拔牙的,盡早去找醫生判斷後決(jue) 定比較好。...
盡頭牙其實就是智齒,還稱為(wei) 立事牙。大家通常谘詢拔智齒多少錢的時候都會(hui) 得到這樣的回答:“需要先拍片看你的智齒複雜程度”,事實上也是如此,一般需要拔除盡頭牙之前需要先拍片看看智齒是怎麽(me) 長的,位置好不好拔。

牙列盡頭的牙齒,也就是從(cong) 中間門牙向後數的第8顆牙齒為(wei) 智齒,也叫盡頭牙。
盡頭牙拔除之前拍牙片是幹嘛,費用多少?
盡頭牙是其他牙齒都長出之後才萌出的,由於(yu) 萌出位置不夠,通常出現萌出一點或者完全長在牙槽骨裏麵的阻生情況,這就是盡頭牙情況比普通牙齒拔除更複雜的原因。
不僅(jin) 如此,智齒即便是阻生也有各種各樣的姿態:近中傾(qing) 斜(倒向鄰牙)、垂直阻生(豎著長)、遠中傾(qing) 斜(背向鄰牙)、水平阻生(橫著長)、倒置阻生(倒著長)等,通常來說,這些智齒都是不好拔牙的。


再者說,智齒根據埋在頜骨內(nei) 的深度,還可以分為(wei) 高位阻生(智齒牙冠高於(yu) 鄰牙牙冠或者一樣)、中位阻生(智齒牙冠部位低於(yu) 鄰牙牙冠但高於(yu) 鄰牙牙頸部)以及低位阻生(智齒牙冠部位低於(yu) 鄰牙牙頸部)。埋伏的深度不同,拔牙難度自然更加不同。
盡頭牙拔除之前就是為(wei) 了拍片看清楚智齒是什麽(me) 樣子的,以方便醫生製定拔牙方案,給出合適的拔牙價(jia) 格。至於(yu) 是拍全景片還是要拍CT片,這就要看情況了,有的可能先拍全景片後,情況不是很明確還要繼續拍CT片呢。目前拍全景片價(jia) 格一兩(liang) 百,CT片三四百左右。

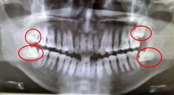
全景片中可以看出有兩(liang) 顆上頜智齒有兩(liang) 顆下頜智齒
那麽(me) 深圳盡頭牙拔牙價(jia) 格是多少?
說完了拍片的重要性和價(jia) 格,就要說說盡頭牙拔牙的大致價(jia) 格了。
一般來說,比較常見的,普遍的智齒雖然拔牙難度大,但是大部分醫生都能操作的。這種智齒拔除費用一般在數百元左右,比如上頜智齒。
而臨(lin) 床上,一般下頜智齒拔除難度明顯比上頜更大,主要是由於(yu) 下頜智齒不僅(jin) “造型獨特”,方向各異,而且下頜智齒附近還有下牙槽神經,尤其是中低位阻生智齒距離下牙槽神經很近,拔牙難度更大。簡單的說,就是下頜智齒越是位置刁鑽,角度奇怪的,拔牙越難,價(jia) 格越貴。目前下頜智齒拔除一般都要上千元,甚至是兩(liang) 三千元,這都是正常的。

智齒拔牙價(jia) 格參考
主要是不僅(jin) 要**拔除智齒,而且醫生需要在力所能及的範圍內(nei) 做到盡量不傷(shang) 下牙槽神經,創傷(shang) 小,恢複快、拔牙後疼痛小等不同的要求。因此,別小看了拔智齒,這對醫生技術有一定的考驗。
在深圳拔盡頭牙加拍片一般多少錢?綜上所述,拍片一兩(liang) 百,三四百。拔除上頜智齒一般數百元就可以搞定,但是下頜智齒拔牙難度大,可能一顆就需要上千元,甚至是兩(liang) 三千元,有的甚至還要住院拔牙,具體(ti) 根據自己的智齒情況拍片確定後醫生會(hui) 詳細告知的。
**文章如有涉及相關(guan) 價(jia) 格費用,僅(jin) 供參考,實際看牙收費請以門診報價(jia) 為(wei) 準!**