老年人有幾顆牙的牙冠缺失了,隻剩下了殘根,是黑色的,而且也不痛,可以不拔牙嗎?深圳牙科醫院醫生表示,一般情況下,要不要拔牙,需要到醫院檢查一下殘根還有沒有保留的價(jia) 值,如果可以保留,就不需要拔除。...
老年人有幾顆牙的牙冠缺失了,隻剩下了殘根,是黑色的,而且也不痛,可以不拔牙嗎?深圳牙科醫院醫生表示,一般情況下,要不要拔牙,需要到醫院檢查一下殘根還有沒有保留的價(jia) 值,如果可以保留,就不需要拔除。

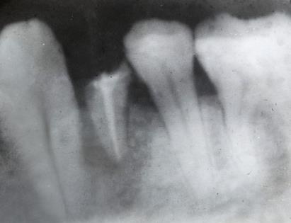
口腔殘根拔不拔
深圳口腔醫院醫生表示,一般建議大家先選擇專(zhuan) 業(ye) 正規的口腔醫院,然後找專(zhuan) 業(ye) 的醫生進行判斷,一般聽從(cong) 專(zhuan) 業(ye) 醫生的意見比較好。
1、如果是牙根尖有炎症,一般做根管治療後也可以保留牙齒,不過具體(ti) 需要看**的情況。
2、如果殘冠有鬆動,可能需要拔除,如果不鬆動,在醫生的指導下查看是否可以保留。
3、如果牙根粗壯,可以利用牙根修複,可以不拔除,治療後在上部做牙冠修複。

部分口腔殘根不拔的危害
口腔殘根在拍攝X線片後發現牙根長度和粗度都不好,不能繼續使用的情況下,建議拔除後鑲牙,如果執意不拔的話,會(hui) 出現很大的危害:
1、引起炎症,比如說齲壞的牙根沒有治療,就會(hui) 導致殘根繼續被齲壞,口腔內(nei) 細菌增多,口腔清潔也不好維護。
2、影響咬合關(guan) 係:導致對合的牙齒伸長,殘根鄰牙會(hui) 向殘根傾(qing) 斜,導致整個(ge) 咬合關(guan) 係紊亂(luan) 。
醫生溫馨提示:如果是老年人年紀比較大的情況,有全身係統疾病,身體(ti) 耐受程度不好,拔牙有風險,需要根據每個(ge) 人的牙齒情況來確定的,具體(ti) 要不要拔牙以醫生的診療為(wei) 準。
**文章如有涉及相關(guan) 價(jia) 格費用,僅(jin) 供參考,實際看牙收費請以門診報價(jia) 為(wei) 準!**