一顆蛀牙從(cong) 一個(ge) 黑點、黑線,逐漸發展成一個(ge) 黑洞,黑洞越來越深,引發牙髓炎、根尖周炎,甚至到後來隻能拔牙。那麽(me) ,蛀牙從(cong) 淺齲到拔牙,中間經曆了什麽(me) ?...
蛀牙從(cong) 淺齲到拔牙,中間經曆了什麽(me) ?一顆蛀牙從(cong) 小小的黑點、黑線,進而演變成黑洞,到後來讓人疼得徹夜難眠,甚至以拔牙來結束它的一生...那麽(me) 蛀牙從(cong) 淺齲到拔牙步步驚心的一生中,中間經曆了什麽(me) ?
1、蛀牙初始階段——淺齲
當你照照鏡子時,發現牙齒裏麵有黑色的小點點,你聳聳肩:“沒事的,估計就是昨天吃的黑芝麻粘在牙齒上了!”
殊不知,這可能是蛀牙的初始階段!在此時,蛀牙一般破壞到牙釉質層(也就是牙齒的外層),需要做常規的補牙充填。
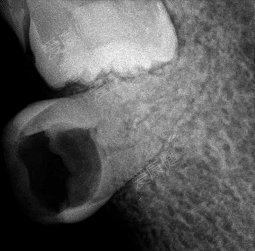
2、蛀牙發展階段1——中齲
當你吃糖、吃過冷過熱食物時,感覺到有些疼痛,你覺得:“沒事的,忍忍就好了!”
此時,蛀牙已經慢慢發展到牙本質淺層了,這個(ge) 時候已經形成一個(ge) 黑色的齲洞,對冷熱酸甜等刺激感覺到敏感。在此時一般通過做充填補牙就能解決(jue) 問題。
3、蛀牙發展階段2——深齲
如果你還是不去補牙,那麽(me) 蛀牙就會(hui) 繼續深入,變成“深齲”。此時病變已經侵襲到牙本質深層,牙齒齲洞比較深,而且受到外界刺激都會(hui) 覺得疼痛。
這個(ge) 時候如果你及時去做檢查,蛀牙沒有損傷(shang) 牙髓可以做補牙;病變如果侵襲到牙髓組織,那麽(me) 可能就得做根管治療了!
4、蛀牙惡化階段1——牙髓炎
當你每天晚上都被牙疼折磨得徹夜難眠時,你忍著說:“我吃點消炎藥,熬熬就過去了!”
這時,蛀牙已經很嚴(yan) 重了!病變到達牙髓組織,引起夜間痛、劇烈疼痛、陣痛等感覺。在此時,開髓引流後做根管填充是比較好的方式。
5、蛀牙惡化階段2——根尖周炎
當你牙齒疼得要命,甚至臉部開始腫脹時,你依然強撐著說:“沒什麽(me) 大不了的,不就是一顆牙齒,我吃止痛藥就行了!”
你可別再開玩笑了!現在蛀牙已經引起根尖周炎,容易引發感染,甚至嚴(yan) 重的話會(hui) 危害身體(ti) 健康!此時建議到正規醫療機構檢查,並對症處理!

(拍片檢查需要做根管治療)
6、蛀牙後期階段——殘根殘冠
但你依然還是那麽(me) 倔強,直到牙齒一點點脫落,隻剩下殘缺的牙冠、牙根時,你自暴自棄:“算了,就這樣吧!”
此時,病變已經把牙齒弄得麵目全非,隻剩下殘根殘冠了。此時可以通過做根管治療,再做樁核冠修複是能夠較好地保存患牙的。
7、蛀牙game over——拔牙
你來到醫院,牙醫檢查了一下你的牙齒,搖搖頭說:“你的牙齒可能需要拔掉了!”你這才幡然大悟,後悔沒有及時治療,同時你也憂愁:“拔牙後可該怎麽(me) 辦呢?”
別怕,拔牙後你考慮鑲牙修複。目前的鑲牙方式有種植牙、活動義(yi) 齒和固定義(yi) 齒。你可以根據自己的牙齒情況和經濟水平等方麵選擇適合自己的鑲牙方式。
蛀牙從(cong) 淺齲到拔牙,中間經曆了什麽(me) ?看完牙齒蛀牙的一生,相信大家都有所認識:一旦發現蛀牙,一定要早檢查,早補牙,早處理!
**文章如有涉及相關(guan) 價(jia) 格費用,僅(jin) 供參考,實際看牙收費請以門診報價(jia) 為(wei) 準!**