全景片價(jia) 格是多少,一般哪些情況需要做?小牙片和側(ce) 位片等有啥區別,可能不少人都不知道,今天我們(men) 從(cong) 牙片的作用到價(jia) 格詳細了解一下。...
我就是牙痛,想去醫院拍個(ge) 片看看牙齒什麽(me) 情況,不知道要多少錢?這是很多人看牙之前的“小小”願望,到醫院一谘詢後聽說要拍幾個(ge) 牙片就不幹了,隻拍一個(ge) 不行嗎,浪費錢!
可能不行,這麽(me) 說吧,牙痛有很多種,比如牙髓炎、根尖周炎,智齒冠周炎,牙齦紅腫疼痛,牙齒缺損造成疼痛等等,不通過拍片篩查原因,醫生怎麽(me) 給出對應的診療方案呢?如果不對症治療,牙痛的情況又怎麽(me) 能好轉呢?對吧?

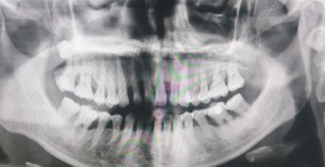
牙周病嚴(yan) 重的牙片
更何況,即便是相同的牙齒情況,需要拍的牙片也不同。
比如檢查有無智齒,查看智齒生長位置及方向,一般拍全景片(可以看到全口牙齒情況的那種牙片)就可以看到智齒的情況了。但是呢,如果全景片智齒的位置不清楚,而且接近牙神經,需要進一步確認情況的話,可能還需要拍CT片。

智齒的小牙片
口腔檢查牙片分類不同,功能不同,價(jia) 格也不同
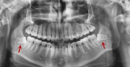
1、全景片:通常就是可以拍出口腔內(nei) 所有的牙齒情況的,通常從(cong) 全景片可以看到有無智齒,牙槽骨情況好不好,有無多生牙、有無假牙等修複體(ti) ,有多少顆蛀牙等。價(jia) 格一般在一兩(liang) 百元左右。如下圖:

有兩(liang) 顆智齒的全景片
2、小牙片:就是隻能看到一兩(liang) 顆牙齒牙根情況的那種牙片,一般主要用於(yu) 查看牙根管、牙根等情況。價(jia) 格一般在幾十上百元左右,是牙片中比較便宜的一種。如下圖:

根管治療拍片
2、CT片:也叫CBCT,相對於(yu) 全景片來說,是從(cong) 三維的角度查看牙齒情況的,可以了解牙齒更細微、更為(wei) 全麵的一些情況。價(jia) 格通常要比其他牙片都貴一些,在三四百元左右。如下圖:

CT片
3、側(ce) 位片:在牙齒正畸的時候使用比較多,通常還有正位片、側(ce) 位片之分,主要是可以通過牙片來查看牙齒於(yu) 頜骨的大致情況,便於(yu) 正畸醫生製定合適的矯正方案。價(jia) 格通常也在一兩(liang) 百左右。如下圖:

側(ce) 位片
看牙拍個(ge) 牙片,輻射少,錢也少,醫生建議大家拍片隻是為(wei) 了確診目前牙齒情況,從(cong) 而幫助製定合適的治療計劃。當然,如果有近幾周拍過的牙片,也可以帶著就診,如果可以用上就不用再次拍片檢查了,省錢省時。
**文章如有涉及相關(guan) 價(jia) 格費用,僅(jin) 供參考,實際看牙收費請以門診報價(jia) 為(wei) 準!**