口腔全景片其實可以看出很多牙齒問題,隻不過不是專(zhuan) 業(ye) 人士,通常不會(hui) 看而已,接下來我們(men) 就大家經常好奇的幾個(ge) 問題,說一下口腔全景片怎麽(me) 看智齒、蛀牙等。...
作為(wei) 牙科非專(zhuan) 業(ye) 人士,大家到醫院拍完口腔全景片後是不是一臉懵,不知道怎麽(me) 看牙齒到底好不好,有沒有蛀牙,有沒有智齒,有幾顆,牙槽骨情況好不好等等,接下來我們(men) 來學習(xi) 一些基礎的全景片怎麽(me) 看。
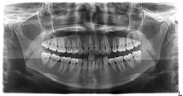
口腔全景片,顧名思義(yi) 就是可以把全口牙齒都展現出來的一種牙片,這是牙科比較常見的片子,一般就是這樣的:

拿到一張口腔全景片後,我們(men) 先要根據牙片上標誌的R和L字母來分辨左右,R代表的是口腔右側(ce) ,而L代表的就是口腔左側(ce) 。
除此之外,口腔全景片可以看到什麽(me) 東(dong) 西,一般來說,可以看到全口牙齒、牙周、牙槽骨情況、上下頜骨情況以及上頜竇、鼻腔等他們(men) 的位置、形態等。
接下來說說常見的幾個(ge) 困惑:
1、口腔全景片怎麽(me) 看有沒有智齒
比如下圖這張全景片,全口牙齒一般有28-32顆多出來的4顆就是智齒,智齒是從(cong) 中間的牙齒往後數的第8顆,如果上下左右都有第8顆,那就是長了4顆智齒。

2、口腔全景片怎麽(me) 看有沒有蛀牙
一般來說,常見的蛀牙通常可以通過牙片發現,尤其是齲壞比較多(如下圖),在牙片上會(hui) 出現黑色陰影的缺損,但是如果是鄰麵齲以及齲壞程度等通常就需要到醫院醫生用探針、口鏡等進行檢查確定。

智齒鄰牙蛀牙
3、口腔全景片能看到種植牙嗎
可以的,種植牙等修複體(ti) 在口腔全景片上展現的通常是白色的,可以很清晰的看出來,比如下圖中就有1顆種植牙。

4、口腔全景片可以看到牙周情況和牙槽骨情況嗎
一般也是可以的,通常來說,牙齒周圍是被牙齦包裹沒有很大縫隙的,如果口腔全景片上顯示如下麵這樣的,牙齒之間縫隙大而且是黑色陰影,牙齒整體(ti) 比較長,多半是有牙周炎,牙槽骨情況也不好。

以上就是大致的口腔全景片要怎麽(me) 看,希望大家可以從(cong) 基本的入手,了解自己的牙齒情況,從(cong) 而可以和醫生更好的溝通,積極配合治療,擁有一口健康的好牙。
**文章如有涉及相關(guan) 價(jia) 格費用,僅(jin) 供參考,實際看牙收費請以門診報價(jia) 為(wei) 準!**