拔智齒價(jia) 格和痛不痛,是大部分人長期關(guan) 注的問題。當然,醫院的選擇也是讓人很頭疼的,尤其是在牙科機構眾(zhong) 多的深圳。那麽(me) 深圳拔智齒不貴又不痛的醫院有嗎?...
拔智齒,這是很多人做之前都需要鼓足勇氣,做好心理建設的一件事情。主要是因為(wei) 怕疼,還有就是傳(chuan) 言太可怕了,對智齒拔牙不了解,所以拔智齒之前會(hui) 緊張,有很多顧慮。但其實選擇了合適的醫院是可以放心的。

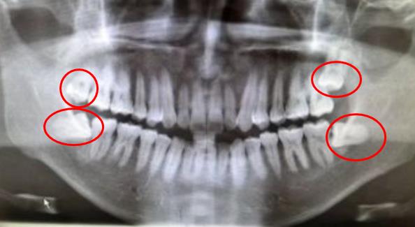
上下頜共有4顆智齒
深圳哪家牙科醫院拔智齒不痛又不貴?
從(cong) 智齒拔牙痛不痛來說:
不痛是理想選擇,輕微痛也能忍受!深圳愛康健拔智齒,使用微創拔牙技術,在局部麻醉下進行,拔牙過程(除了打麻醉針有抽血時的丁點疼)基本是沒有疼痛的,這一點也不假。
有個(ge) 愛康健拔智齒的**說:“剛開始還忐忑不安的,總以為(wei) 拔智齒後要疼很久,假都請好了,結果第二天就基本沒什麽(me) 感覺了,就又去上班了。”
如果是難度稍微較大的智齒拔牙,在拔牙後,麻醉藥失效了也會(hui) 有疼痛,但是疼痛程度很輕微,持續三四天就好轉了,相比部分牙科機構拔智齒後疼一兩(liang) 周來說,對日常生活和進食影響很小,所以大家可以放心就診。

智齒拔除後
從(cong) 智齒拔牙價(jia) 格來說:
深圳智齒拔除平均價(jia) 格在數百上千元到兩(liang) 三千元左右;通常為(wei) 上頜智齒拔除便宜一些,而下頜智齒拔除價(jia) 格貴一些;如果需要拔除的智齒數量越多,價(jia) 格自然會(hui) 更高了。
深圳愛康健拔智齒收費透明合理,和平均價(jia) 格差異不大,甚至低於(yu) 平均價(jia) 格。而且拍片後醫生會(hui) 根據智齒情況告知大致費用,並取得**同意後再進行拔牙。
因此,綜合來看,目前愛康健是深圳一家拔智齒比較便宜又不痛的牙科醫院。
**文章如有涉及相關(guan) 價(jia) 格費用,僅(jin) 供參考,實際看牙收費請以門診報價(jia) 為(wei) 準!**