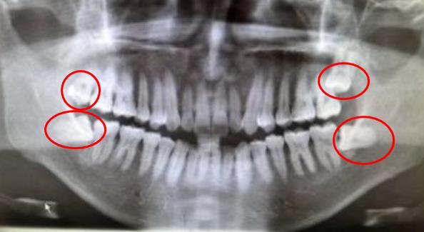
智齒,通常在16歲以後萌出的牙齒,位置靠裏,加上萌出時間晚,不好找自己的地盤,隻能在夾縫裏求生存,這就是大部分智齒位置不正,造成智齒周圍組織發炎,需要拔除的原因。不過在決(jue) 定拔牙後,還需要選擇合適的醫院才行。 (自行判斷有無智齒的方法:從(cong) 正...
智齒,通常在16歲以後萌出的牙齒,由於(yu) 位置靠裏,加上萌出時間晚,不好找自己的“地盤”,隻能在夾縫裏求生存,這就是大部分智齒位置不正,造成智齒周圍組織發炎,需要拔除的原因。不過在決(jue) 定拔牙後,還需要選擇合適的醫院才行。

(自行判斷有無智齒的方法:從(cong) 正中的門牙向左或者向右數,如果有8顆,那第8顆就是智齒)
智齒,位置靠近喉嚨,加上大部分位置不正,特別是阻生智齒,相比拔除普通牙齒,智齒拔牙情況更複雜,難度也要大一些。所以大家在選擇智齒拔牙醫院方麵,往往比較謹慎。不過深圳拔智齒哪些醫院是可以信賴的呢?
深圳牙科醫院醫生表示,其實拔智齒一般選擇專(zhuan) 業(ye) 正規的口腔醫院或者是公立醫院,智齒拔牙經驗比較豐(feng) 富的醫生基本都是沒問題的。不過如果是特別複雜的智齒情況,技術好的醫生更有保障。畢竟醫生有一兩(liang) 年臨(lin) 床經驗和有十幾二十年經驗,在綜合實力方麵是有一定差異。

智齒拔牙過程
如果是在深圳拔牙,可以選擇愛康健口腔醫院進行。
1、現在的拔牙不再是“錘、劈、敲”等方式,而是使用高速渦輪機、微創拔牙刀等器械,作為(wei) 專(zhuan) 業(ye) 口腔醫院,愛康健口腔有多種專(zhuan) 業(ye) 拔牙器械,可以讓拔牙變得簡單,減輕大家對拔牙的恐懼。
2、難度大的複雜智齒拔牙,建議盡早拔牙,所以如果醫院位置好,各種交通方式可以直達,就診會(hui) 更方便。而深圳愛康健口腔位於(yu) 深圳火車站旁邊,羅湖地鐵C出口,公交站“火車站”,出租車直達,可以節省就診時間。
3、智齒拔牙微創、**,通常需要先消毒進行麻醉(打麻醉針時有一兩(liang) 秒輕微刺疼),等到麻醉發生作用才開始拔牙,所以拔牙的時候你能感受到,但是不疼。所以大家可以放心。
4、再說說智齒拔牙價(jia) 格,和其他公立醫院和專(zhuan) 業(ye) 口腔醫院差不多,通常在數百元到一兩(liang) 千元,甚至幾千元不等,需要醫生檢查後根據智齒實際情況決(jue) 定。
雖然到愛康健口腔拔牙是不錯的選擇,不過,愛康健醫生提醒,如果智齒當前疼痛發炎,這時候不建議馬上拔牙,需要先控製炎症和疼痛。如此時進行拔牙,麻醉結果較差,拔牙會(hui) 比較痛苦,拔牙後有繼發感染、愈合不良等風險存在。
**文章如有涉及相關(guan) 價(jia) 格費用,僅(jin) 供參考,實際看牙收費請以門診報價(jia) 為(wei) 準!**