智齒腫痛怎麽(me) 處理?如果不在孕期等特殊時期,智齒可以很快得到解決(jue) ,但是孕期不能拍片、用藥等,醫生可能也會(hui) 更偏向於(yu) 做保守治療。...
孕前一定要先做口腔檢查,檢查有沒有蛀牙、牙周炎和智齒!尤其是智齒,很多人孕期都受到影響,其中包括不少明星。所以智齒不認人的,可能隨時發動“偷襲”,大家一定要做好防備。
孕期由於(yu) 激素水平發生變化,而且孕期營養(yang) 充足,口腔清潔不到位,智齒發炎的幾率更高。那麽(me) 孕前如果沒來得及處理智齒,孕晚期智齒腫痛怎麽(me) 辦?

智齒發炎會(hui) 引起麵部腫脹疼痛
1、不能死扛,該治療還得治療。
部分孕媽表示,智齒發炎了疼,但是孕期不能用藥,不得已隻能硬扛著,做好口腔清潔等著看什麽(me) 時候不痛。這種說法是行不通的。
如果智齒發炎程度比較輕微,沒有影響日常生活的話,注意口腔清潔可能會(hui) 慢慢緩解。比如某明星智齒發炎疼痛,醫生建議使用漱口水,做好口腔清潔。
但如果智齒發炎臉部腫脹嚴(yan) 重,影響吃飯喝水等,需要注意是否對腹中寶寶有影響,以免出現頜麵部重度感染危害孕婦和胎兒(er) 健康。比如,今日深圳福田8個(ge) 月大的孕婦差點因為(wei) 智齒喪(sang) 命,寶寶出現胎心異常,孕婦頜麵重度感染,醫生為(wei) 其進行手術後才脫離危險,保住了兩(liang) 條命!

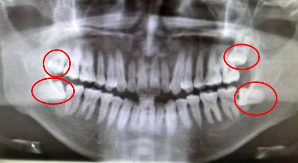
全景片中,紅圈內(nei) 的就是4顆智齒
2、不能自以為(wei) ,找專(zhuan) 業(ye) 醫生確診。
隨著互聯網信息的發展,大部分人都養(yang) 成了出現身體(ti) 疾病問題,網上搜索一番,大致判斷自己的病情,然後再確定要不要就診。
殊不知,就在網上搜索的時候可能已經錯過了黃金的治療時間;而且全中國上億(yi) 的人口,每個(ge) 人的情況都是不同的,隻有醫生麵對麵診療和檢查後才能準確給出病情判斷;再者,網絡信息繁雜,很難辨別真偽(wei) 。
建議大家出現孕期智齒疼痛的情況後,還是及時谘詢專(zhuan) 業(ye) 牙科醫生,並告知醫生目前的情況,醫生會(hui) 根據實際的智齒情況給出合理的治療方案,讓智齒腫痛可以得到緩解,同時還能給與(yu) 孕期牙齒健康一些不錯的護理建議。
**文章如有涉及相關(guan) 價(jia) 格費用,僅(jin) 供參考,實際看牙收費請以門診報價(jia) 為(wei) 準!**