如果說智齒的命運大多是悲慘的,那麽(me) 被智齒擠壞的鄰牙也太無辜了。可能需要麵臨(lin) 和智齒一樣被拔掉的情況,那麽(me) 愛康健牙科拔牙貴不貴。...
要說智齒是個(ge) 不折不扣的討厭鬼,可能大部分人都是讚同的,因為(wei) 很少有智齒萌出後是安分守己的,大部分智齒不是挑動周圍組織引起炎症,就是去禍害鄰牙造成鄰牙齲壞。所以大部分的智齒醫生都建議作拔除處理。

那麽(me) 被智齒擠壞的鄰牙要怎麽(me) 辦,一起拔掉嗎?
被智齒擠壞的鄰牙(第二磨牙)是很無辜的,但是沒辦法,鄰居不好當,一不小心就成了替死鬼。不過是不是壞掉的鄰牙都建議拔除呢?不見得。可以根據鄰牙的實際情況來確定。

如果鄰牙壞得嚴(yan) 重或者是智齒嵌入進去了,沒法單純拔除鄰牙或者是智齒,可能鄰牙和智齒都需要一起拔除了,這顆鄰牙就可惜了。
如果鄰牙齲壞不是很嚴(yan) 重,而且可以單獨拔除智齒,並在拔除智齒後還能對鄰牙進行補牙,這種當然是非常理想的結局了。
如果鄰牙齲壞很嚴(yan) 重沒法保留了,但是智齒是健康完整的,而且**有做牙齒矯正的需求,可以考慮及時拔除鄰牙,拔智齒牽引出來頂替鄰牙使用。

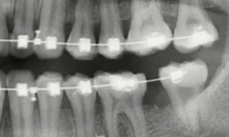
智齒和鄰牙都拔除了
一般來說,智齒把鄰牙齲壞後比較常見的是這樣的幾種處理方法。但是這隻是參考建議,具體(ti) 還要醫生把關(guan) 確診才行。
在確定了需要拔牙後,大家關(guan) 心的通常就是智齒拔牙哪些醫院比較有保障,醫生技術好,而且價(jia) 格也不是很貴的,其實深圳還真的有這樣的醫院存在,比如深圳愛康健牙科。

第二磨牙缺失後,正畸成功牽引了智齒
到深圳愛康健牙科拔牙貴嗎?
深圳愛康健拔智齒通常和綜合公立醫院價(jia) 格差不多的,公立醫院通常可能是分為(wei) 多次收費,整體(ti) 費用相加其實差不到哪去。愛康健醫生在拔牙(智齒)之前會(hui) 先分析智齒和鄰牙的情況,並告知拔智齒的難度以及風險,還有告知大致的價(jia) 格等,然後再簽訂知情書(shu) 再拔牙。
目前愛康健拔智齒價(jia) 格一般在800起,這是比較常見的智齒拔除,如果是難度比較大的,甚至是很複雜的可能需要兩(liang) 三千甚至以上。不僅(jin) 拔牙價(jia) 格和其他醫院差不多,而且醫生拔牙技術好,通常拔牙後很快就不痛了,恢複起來也很快,想必既能**拔牙價(jia) 格公正合理,還能保障拔牙後創傷(shang) 小,恢複快,疼痛小,這也是不少**選擇愛康健拔牙的主要原因吧!
**文章如有涉及相關(guan) 價(jia) 格費用,僅(jin) 供參考,實際看牙收費請以門診報價(jia) 為(wei) 準!**