智齒發炎腫了罵罵咧咧要拔除,炎症消除不痛了就忘了有這茬事兒(er) 了。這不知道是多少朋友的真實寫(xie) 照。與(yu) 其這樣,不如在發炎後及時到醫院檢查,一次性解決(jue) 了算了。...
長立事牙(智齒)的難受真是誰經曆過誰知道,裏麵的牙齒腫脹疼痛不堪也就算了,感覺腮幫子和臉也會(hui) 連帶著一塊腫痛,說話困難,吃飯吞咽也困難。不少了解是智齒發炎的朋友,總是信誓旦旦的說,這次一定拔了你。
但是,長立事牙發炎腫脹後的當務之急是拔牙嗎?
當然不是!智齒急性炎症發作時通常是不能拔牙的,這時候大家能做的隻能是等待炎症消退,或者是采用一些方法來消除炎症,減少疼痛和腫脹的情況。

那麽(me) 一般有什麽(me) 方法呢?
1、吃藥緩解。這是很多朋友都用過的方法,止痛藥、消炎藥等,但是建議要在醫生專(zhuan) 業(ye) 指導下服用,以免有什麽(me) 副作用。而且孕婦等特殊人群更需要謹慎。
2、到醫院消炎衝(chong) 洗。急性炎症發炎通常隻能先做局部衝(chong) 洗消炎,如果想要消炎消除更快一些,也有可能需要輔助口服藥物,具體(ti) 聽從(cong) 醫生的建議。
3、日常做好口腔護理,使用淡鹽水漱口,堅持刷牙,否則口腔衛生不好,可能炎症會(hui) 更為(wei) 嚴(yan) 重。
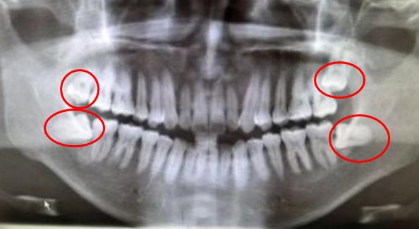
通常來說,幾天到一周左右,智齒炎症會(hui) 慢慢消除,疼痛腫脹也逐漸好轉。但並不是這樣就能完事了。這時候是著手處理立事牙的好時機,建議及時到醫院拍片查看智齒的情況,然後確定是否需要進行拔除。

拔除的智齒
如果是位置不正、傾(qing) 斜頂著前麵鄰牙、自身齲壞等大部分的智齒,可能都是需要麵臨(lin) 拔除的,隻有很小的一部分有對合牙、位置正能發揮咀嚼功能或者完全埋伏於(yu) 牙槽骨,不會(hui) 有什麽(me) 影響的才建議保留。當然,如果有特殊情況,比如說有大牙缺失想要正畸的,可以先找正畸醫生評估一下,智齒是否可以廢物利用不用拔除。
需要注意的是:智齒反複發炎建議不要忍(孕婦以及月經期等人群需要注意),直接到醫院檢查智齒的情況,及時處理好智齒比較好。否則智齒在口內(nei) 會(hui) 成為(wei) 一個(ge) 隱患,反複發作,無法忍受,影響日常生活和工作。
**文章如有涉及相關(guan) 價(jia) 格費用,僅(jin) 供參考,實際看牙收費請以門診報價(jia) 為(wei) 準!**