有智齒,但是不知道長了幾顆,如果要拔牙的話要分為(wei) 幾次拔除,4顆智齒分為(wei) 四次拔除還是兩(liang) 次拔除呢?接下來我們(men) 就來和大家說說這個(ge) 問題。...
智齒不是每個(ge) 人都長,在口內(nei) 的數量一般是0-4顆。那麽(me) 如果口內(nei) 長了4顆智齒的話,一般分幾次拔除比較好,是分四次拔除好呢,還是分兩(liang) 次拔除好呢?接下來我們(men) 就來說說。

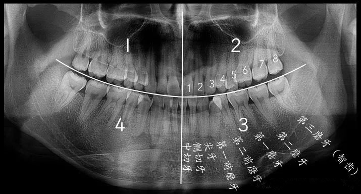
有4顆智齒的全景片
一般來說,智齒有幾顆,到醫院一拍全景片就可以看得很清楚,至於(yu) 要分為(wei) 幾次拔除,這個(ge) 根據**自己的意願來進行。
國外有的機構智齒拔除可以一次性拔除全部的4顆,而在國內(nei) 這種情況比較少見,因為(wei) 4顆智齒一起拔除創傷(shang) 大,術後疼痛腫脹等疊加起來更難受一些,可能會(hui) 影響正常生活和工作。

哪顆是智齒,從(cong) 全景片怎麽(me) 看
如果口內(nei) 有智齒,大家自己可以決(jue) 定分為(wei) 幾次拔除。
如果是隻有1顆,那麽(me) 通常一次就能拔除了;
如果是有2顆智齒,可以一次拔除,也可以分為(wei) 兩(liang) 次拔除。要看是屬於(yu) 同側(ce) 上下頜,還是左右兩(liang) 側(ce) ,如果是同側(ce) 上下頜智齒可以考慮一次拔除,而分布於(yu) 左右兩(liang) 側(ce) 的智齒,建議分為(wei) 兩(liang) 次拔除;
如果是有3顆智齒,也是一樣的,可以分為(wei) 3次拔除,一次拔除一顆,也可以分為(wei) 兩(liang) 次拔除,一次拔除同側(ce) 兩(liang) 顆,再拔除另一側(ce) 的一顆。
如果是有4顆智齒,相同的道理,一次1顆,要拔4次,一次同側(ce) 上下牙一起拔除,需要兩(liang) 次拔除。
這是比較常見的分幾次拔除的情況,不過具體(ti) 怎麽(me) 來,要看大家需求和智齒情況。

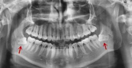
左右兩(liang) 側(ce) 兩(liang) 顆下頜智齒
4顆智齒分四次拔好,還是分兩(liang) 次拔好?
4顆智齒分四次拔除好,還是分兩(liang) 次拔除好?這個(ge) 沒有好壞之分的。根據自己的身體(ti) 健康情況和醫生對智齒的實際評估後的建議為(wei) 準比較好。
1、如果智齒拔牙難度都比較大,帶來的創傷(shang) 比較大,術後反應可能比較嚴(yan) 重,恢複起來比較慢,而且不著急的話,可以一顆一顆的拔除,隻是就診次數多,比較麻煩一些而已。
2、如果年紀輕輕,身體(ti) 好,想要快點把智齒解決(jue) 掉,不想長期收折磨的話,可以每次拔除同側(ce) 的兩(liang) 顆牙來進行,把4顆智齒分為(wei) 兩(liang) 次拔除。

智齒拔牙
通常分為(wei) 多次拔除智齒,主要考慮的是,智齒拔牙難度大,拔除後會(hui) 有腫脹疼痛的情況出現,對前幾天的飲食會(hui) 有影響。為(wei) 了盡量減少對日常生活和工作的影響,會(hui) 建議多次少量拔除,當然,如果想要一次拔除的**,也可以找醫生谘詢是否滿足條件。
**文章如有涉及相關(guan) 價(jia) 格費用,僅(jin) 供參考,實際看牙收費請以門診報價(jia) 為(wei) 準!**