能看到所有的牙齒的那種片子是什麽(me) 片,一般要多少錢呢,可能很多人到醫院看牙隻是想拍個(ge) 片,然後拿給別的醫生作參考,所以想要了解價(jia) 格。 ...
能看到所有的牙齒的那種片子是什麽(me) 片,一般要多少錢呢,可能很多人到醫院看牙隻是想拍個(ge) 片,然後拿給別的醫生作參考,所以想要了解價(jia) 格。

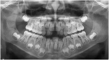
深圳牙齒矯正醫院醫生解釋,你所謂的牙列全景圖X光,其實名字叫做全景片,也叫曲麵斷層片,是可以看到口腔內(nei) 所有的牙齒情況,包括有無智齒、智齒位置和方向如何、有無牙齒缺失、有無蛀牙、有無不良修複體(ti) 、牙槽骨條件好不好等等,所以到醫院後怎麽(me) 掛號以及怎麽(me) 準確告知醫生很關(guan) 鍵。
這種全景片的拍片價(jia) 格一般很便宜,大致在百多元到兩(liang) 百元左右,基本上是少買(mai) 幾包煙,少買(mai) 幾個(ge) 零食,以及少買(mai) 一隻口紅就能支付的,所以大家不用擔心這個(ge) 價(jia) 格。可以放心到專(zhuan) 業(ye) 的口腔醫院進行,注意一定是專(zhuan) 業(ye) 正規機構,而不是隨便找一家診所進行,當然需要出片子的話,更需要注意選擇醫院,因為(wei) 部分醫院即便是綜合口腔科,也是不出片子的。
**文章如有涉及相關(guan) 價(jia) 格費用,僅(jin) 供參考,實際看牙收費請以門診報價(jia) 為(wei) 準!**