很多人都知道長智齒了需要到醫院拍片檢查確定是否要拔牙,經常發炎疼痛的多半都要拔除,不過聽說拔智齒難度大,不簡單,費用也比一般拔牙要高一些,是真的嗎?...
很多人都知道長智齒了需要到醫院拍片檢查確定是否要拔牙,經常發炎疼痛的多半都要拔除,不過聽說拔智齒難度大,不簡單,費用也比一般拔牙要高一些,是真的嗎?那就不拔了,不管它就好了吧?
你想得美!好像你以為(wei) 不管它,它就會(hui) 乖乖聽你話一樣。實際上,智齒發炎是很任性的,感冒了發炎,月經期發炎,孕期發炎,專(zhuan) 門挑你身體(ti) 虛弱的時候。一次兩(liang) 次還可以忍,經常性的發炎讓不少人崩潰,還是不得已選擇了拔牙。

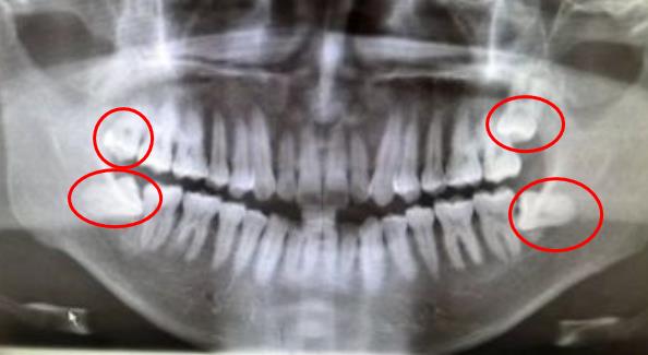
紅圈內(nei) 的4顆牙齒為(wei) 智齒
好了,說正事:拔一顆智齒要多少錢
深圳口腔醫院愛康健醫生介紹到,智齒拔牙難度係數大,通常需要醫生檢查智齒情況後才能確定,拔一顆智齒價(jia) 格大概在800——3000元不等,沒法確定統一的數字。
智齒有上頜智齒和下頜智齒,拔除上頜難度一般比下頜智齒簡單一些,收費方麵也低一些。比如上頜智齒拔牙價(jia) 格在八九百元左右,而下頜智齒拔除可能需要兩(liang) 千元也不一定。
還有大家需要先確定自己有幾顆智齒,一般需要先到醫院拍片查看智齒數量。一般來說,智齒有0——4顆,不同的**口內(nei) 智齒的數量不一致,有可能沒有,也有可能有3顆、4顆,所以數量越多,而且都需要拔除的話,那智齒拔牙的價(jia) 格自然就要高一些,這也是沒辦法的事情。
另外需要告知大家的是:智齒拔牙通常無法使用醫保報銷費用,如果醫保卡內(nei) 有餘(yu) ,一般可以使用餘(yu) 來支付一些費用。所以拔除一顆智齒費用雖然有點高,但是長期強忍著疼痛也不是個(ge) 事兒(er) ,早點拔完早點解脫豈不更好一些。
還有智齒拔牙痛不痛的問題,仁者見仁智者見智。拔牙過程中有麻醉,除了打麻醉針的時候輕微疼,其他時間基本沒感覺。等到智齒拔牙完成半個(ge) 小時後,就開始疼痛了,會(hui) 持續好幾天,這是正常的,如果疼痛嚴(yan) 重,需要吃消炎藥和止痛藥緩解,但是需要注意認真聽拔牙後護理事項。
**文章如有涉及相關(guan) 價(jia) 格費用,僅(jin) 供參考,實際看牙收費請以門診報價(jia) 為(wei) 準!**