拔4顆智齒不想痛4次,反複去醫院太折騰,醫生,就不能一次全給拔了,或者至少一次拔兩(liang) 顆,很多人都一次拔兩(liang) 顆的?醫生說,這是要看情況的。...
經常會(hui) 有朋友抱怨醫生不給力,不就是拔個(ge) 智齒嗎,別的醫生都是一次拔同側(ce) 的上下兩(liang) 顆智齒,4顆智齒就隻用去醫院兩(liang) 次了,結果醫生建議一次隻拔一顆?這是為(wei) 什麽(me) 呢?

拔智齒一顆多少錢,看完這個(ge) 圖就大概知道了
為(wei) 了收取更多費用?正規醫院不至於(yu) !
因為(wei) 正規醫院對於(yu) 智齒拔牙收費情況都有統一的收費標準,撥智齒多少錢一顆?拔除上頜智齒價(jia) 格每顆大致在數百上千元左右,而拔除下頜智齒難度稍微大一些,每顆拔牙價(jia) 格也從(cong) 上千元左右到兩(liang) 三千不等。
一般智齒是按照每顆計算費用的,所以價(jia) 格和智齒數量有關(guan) 係,但是和就診次數沒關(guan) 係,就診幾次智齒拔牙價(jia) 格還是一樣的。

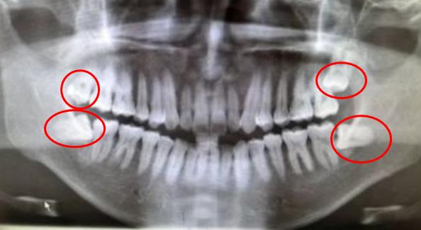
圖為(wei) 表麵一派祥和,其實圖謀不軌的智齒。溫馨提示:智齒難度通常肉眼無法判斷,具體(ti) 需要拍全景片才能確定
拔智齒一次一顆還是一次兩(liang) 顆好?
麵對誤解,醫生們(men) 通常都很委屈。身邊有一同事之前找醫生拔牙,也遇到醫生一次隻拔一顆的情況,同事直接問到:醫生,智齒拔牙後不疼,為(wei) 什麽(me) 不能一次拔除同側(ce) 的兩(liang) 顆呢,那樣不是更省事嗎?
醫生回答:智齒拔牙本來難度比較大,而每個(ge) 人的智齒拔牙難度不同,對於(yu) 疼痛的耐受程度也不同,如果智齒拔牙後護理不到位,感染出現幹槽症,創口久久不愈合,豈不是更麻煩。現在麻煩一點多跑幾次醫院,一顆一顆的拔除,每次術後用心護理,恢複好了再拔除下一顆,這樣過程更為(wei) 舒適,對生活也沒有影響。

智齒一般是0-4顆,有的人可以長齊,有的人長不齊,圖為(wei) 長齊的4顆智齒
一次性拔除4顆智齒太冒險,不建議!
雖然國內(nei) 外很多醫生為(wei) 了滿足**需求一次性拔除4顆智齒的,但是目前基本不建議。因為(wei) 智齒拔牙本身是一個(ge) 外科手術,有創口、出血等情況出現,而且拔除後無法正常進食,對拔牙後的生活影響很大。
如果智齒拔牙難度不是很大,可以考慮一次拔除同側(ce) 的兩(liang) 顆智齒,但是創傷(shang) 大,恢複起來也更慢一些。如果智齒拔牙難度大,還是乖乖聽醫生的話,一次隻拔除一顆智齒吧!畢竟醫生有更專(zhuan) 業(ye) 的判斷。
**文章如有涉及相關(guan) 價(jia) 格費用,僅(jin) 供參考,實際看牙收費請以門診報價(jia) 為(wei) 準!**