年輕人缺牙要做假牙嗎?有的情況不需要,有的情況很有必要。而且具體(ti) 做哪種假牙也要根據不同的牙齒情況來做出合適的選擇。因此,建議大家要先了解清楚。...
生命中覺得遺憾的總是那些已經缺失或者還沒擁有的東(dong) 西。缺牙就像缺錢一樣,也會(hui) 讓人沒有**感。這不,目前很多年輕人都在為(wei) 缺牙煩惱,不知道牙齒拔掉了之後要怎麽(me) 麵對?畢竟缺牙後會(hui) 不習(xi) 慣的。

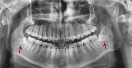
從(cong) 全景片中可以看出有兩(liang) 顆下頜智齒,這種智齒拔除後不用做假牙修複
牙齒拔掉了要怎麽(me) 辦?
一般來說,牙齒拔掉後通常有兩(liang) 種不同的處理方法:
1、一種是沒有牙齒功能的牙齒,不用管!
比如說智齒,多生牙,以及滯留的乳牙,正畸需要拔除的牙齒等,這些牙齒拔除了就拔除了,反正本身也沒什麽(me) 作用,拔除了可以得到更好的結果,所以拔除後通常是不需要做其他處理的。而且也沒什麽(me) 大不了的,拔除後也就是不習(xi) 慣,會(hui) 用舌頭舔舔,習(xi) 慣了就好了。

2、還有一種就是有牙齒功能的牙齒,要管!
正常來說,除了一些特殊的牙齒之外,大部分的牙齒是有對應的牙齒功能的,比如切牙負責切割食物和美觀,磨牙負責磨碎和咀嚼食物,尖牙還有負責撕裂食物等。牙齒一旦因為(wei) 外傷(shang) 或者是牙齒疾病壞掉無法保留需要拔除的話,等到拔牙後恢複正常就要著手做假牙修複了。
如果這些有功能的牙齒缺失後不管的話,可能會(hui) 出現一帶三的牙齒缺失,牙齒排列不齊,牙齒咬合紊亂(luan) 、牙槽骨萎縮嚴(yan) 重等嚴(yan) 重後果,數年以後,可能再想做假牙修複難度變大,費用更高,也更受罪!

單顆牙、多顆牙以及全口牙缺失後采用的幾種假牙方式
缺牙恢複**感,年輕人追求高性價(jia) 比!
活動假牙就是像不少老爺爺老奶奶使用的那種可以直接取下戴上的那種,雖然便宜,但是用一段時間後容易脫落,咀嚼感覺不是很好;烤瓷牙就是固定的,把缺牙兩(liang) 邊的鄰牙磨小後作為(wei) 橋墩做個(ge) 橋體(ti) 固定在鄰牙上,雖然是固定的,但是要磨小兩(liang) 顆“無辜”的鄰牙;種植牙也是固定的,還不磨牙。是在缺牙的位置植入金屬釘,然後上部做牙冠連接修複,穩定性好,牙齒咀嚼感覺接近真牙,也美觀。
這麽(me) 一說,其實大部分年輕人都知道,選擇種植牙是不錯的方式,但是!種植牙不是很貴嗎?老實說,目前種植牙的方式相比活動假牙和烤瓷牙來說確實比較貴,一般都要上萬(wan) 元左右。但是前麵兩(liang) 種假牙使用壽命通常不如種植牙,而且你還年輕,總部希望牙齒以後出現問題再折騰,而是想要做就做好點,保障結果,也懶得折騰受罪吧!
**文章如有涉及相關(guan) 價(jia) 格費用,僅(jin) 供參考,實際看牙收費請以門診報價(jia) 為(wei) 準!**