拍牙科X光片意義(yi) 重大,可以更好幫助大家了解自己的口腔實際狀況,問題可以及時被發現,並且得到解決(jue) ,例如,某個(ge) 人有輕微的齲齒,用肉眼看牙麵甚至看不出來牙齒已經發生了 變,但是借助拍片,就可以輕鬆發現。...
拍牙科X光片意義(yi) 重大,可以更好幫助大家了解自己的口腔實際狀況,問題可以及時被發現,並且得到解決(jue) ,例如,某個(ge) 人有輕微的齲齒,用肉眼看牙麵甚至看不出來牙齒已經發生了病變,但是借助拍片,就可以輕鬆發現。
那麽(me) 拍片有危害嗎?輻射的單位是西弗,1西弗等於(yu) 1000毫西弗,1毫西弗等於(yu) 1000微西弗。所謂的輻射劑量,跟輻射的強度及暴露時間,都有關(guan) 係。

即使什麽(me) 都沒有做,市民所接受的天然輻射量,每年約在1.6毫西弗,也就是1600微西弗。而有些生活嗜好,也會(hui) 增加輻射的暴露量,舉(ju) 例來說:抽煙者,光是每天抽一包煙,一年下來所增加的輻射劑量,可達9毫西弗,也就是9000微西弗。

那牙科的X光片呢?牙科較常拍的X光片,包括有根尖片、咬合片、環口X光片,另外,與(yu) 輻射劑量有關(guan) 的常見影像檢查,還有牙科3D電腦斷層掃描。
根尖片:約5微西弗。
咬合片:約5到7微西弗。
環口X光片:約15到25微西弗。
牙科3D電腦斷層掃描:視照射的模式而定,約30到120微西弗。
市民會(hui) 到牙科看診,常見目的一是洗牙,二是檢查,三是治療。什麽(me) 情況下,醫生會(hui) 安排**作X光的檢查?看過口內(nei) 的狀況、牙科病史、潔牙習(xi) 慣,若懷疑有肉眼無法確認的牙科問題,就需拍牙科的X光,甚至,牙科3D電腦斷層掃描來全麵性地確認問題,藉以訂定合適的治療計畫。
舉(ju) 例來說:一位口腔衛生維持得不好、潔牙時,沒有使用牙線清潔牙縫的習(xi) 慣,而懷疑有肉眼看不見的牙縫間蛀牙時,就會(hui) 安排根尖片、咬翼片的拍攝。此外,如果有牙齦流血、發炎或是刷牙時,牙齦會(hui) 流血,經過臨(lin) 床檢查後懷疑有牙周的問題時,也會(hui) 安排根尖片的拍攝。

根尖片:紅圈處的牙縫有初期蛀牙,牙冠有黑色陰影;藍圈處的牙縫沒蛀牙,可看到完整牙冠。
有些小朋友開始換牙,恒牙萌發有異常,或是青少年要開始長智齒時,有時候需要確認所有牙齒的狀況,就需要拍咬合片或環口X光片。若是因外傷(shang) 撞到牙齒,會(hui) 需要拍根尖片或咬合片來輔助診斷,決(jue) 定後續的治療,也常需要作追蹤檢查來觀察受傷(shang) 後的後續變化。
而根尖片、咬合片與(yu) 環口X光片,所拍攝的影像範圍及精細度,皆不同,當範圍越小時,精細度會(hui) 越好,範圍越大時,精細度會(hui) 越差。原則上,若要仔細看少數幾顆牙齒,就拍根尖片,看較多顆牙齒,則考慮拍咬合片,看全口的牙齒,則考慮拍環口X光片。

▲咬合片:藍圈處,是作過根管治療的三顆乳牙。這三顆乳牙上方有二顆門牙的恒牙,紅圈處是卡在門牙間的多生牙,會(hui) 影響門牙的萌發。

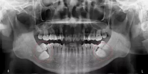
▲環口X光片:紅圈處的第二大臼齒及智齒歪斜,影響大臼齒牙冠及牙周健康。
那什麽(me) 時候需要拍牙科3D電腦斷層掃描?牙科3D電腦斷層掃描的缺點是輻射劑量較高,優(you) 點是可以看比環口X光片更大範圍的影像。舉(ju) 例來說:下顎的智齒,牙根有時會(hui) 比較深,有可能會(hui) 鄰近下顎齒槽神經,在拔除前,若能先作牙科3D電腦斷層掃描比較可以知道下顎智齒跟下顎齒槽神經間,在三度空間**左右的對應關(guan) 係。在作植牙手術前,也會(hui) 運用到牙科3D電腦斷層掃描作手術前的評估。

▲牙科3D電腦斷層掃描:藍圈處是歪斜的智齒,智齒牙根旁的紅線是下顎齒槽神經。彩色部份是呼吸道的評估。
此外,在作齒顎矯正時,常常必須了解暴牙、戽鬥、大小臉的主因,是單純來自牙齒,還是合並有骨骼的問題,這時候作牙科3D電腦斷層掃描可以看得更清楚,假使需要合並正顎手術來改變骨骼的結構時,也能夠了解下顎齒槽神經的走向及評估手術後對呼吸道空間的影響來擬定較完善的治療計劃。
拍牙科X光片意義(yi) 重大,可以更好幫助大家了解自己的口腔的實際狀況,問題可以及時被發現,並且得到解決(jue) ,例如,某個(ge) 人患了輕微的齲齒,用肉眼看牙麵甚至看不出來牙齒已經發生了病變,但是借助拍片,就可以輕鬆發現。
**文章如有涉及相關(guan) 價(jia) 格費用,僅(jin) 供參考,實際看牙收費請以門診報價(jia) 為(wei) 準!**