智齒也有不用拔除,可以廢物利用可回收的時候。而智齒牽引充當磨牙,這相當於(yu) 給了智齒一次將功贖過的機會(hui) 。不過具體(ti) 能不能行,成功率是多少,這就沒法確定了。...
牽引智齒,這是在牙齒矯正中的一種方法。但是對這種方法有的人持支持意見,有的人持反對意見。那麽(me) 智齒牽引的成功率高不高呢?如果牽引成功後一般能用多長時間?接下來我們(men) 了解一下。

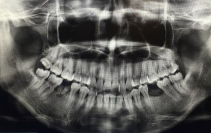
智齒頂壞鄰牙
智齒牽引具有可行性,但成功率高不高需要另說!
一般來說,智齒牽引有幾種情況,比如第六磨牙脫落了,把第七磨牙牽引到地六磨牙的位置,然後把智齒牽引到第七磨牙的位置,這樣一來的話,就不用拔除智齒,也不用在正畸後需要種植第六磨牙了。
還有一種就是智齒把旁邊的第七磨牙頂壞了,或者是齲壞嚴(yan) 重需要拔除。而智齒還是完整健康的,就可以牽引過去充當第七磨牙,這樣就不用拔除第七磨牙和智齒兩(liang) 顆牙齒了。
臨(lin) 床上,這兩(liang) 種智齒牽引方式都有成功**,但是,並不一定適合每個(ge) 人,而且智齒牽引也不一定都能成功,醫生也不能保障完全成功,隻能說是盡量把智齒利用起來,具體(ti) 每個(ge) 人做智齒牽引的成功率通常還需要找正畸醫生詳細谘詢。

智齒牽引矯治
如果.....智齒牽引成功了能用多長時間?
智齒如果牽引成功可以充當磨牙使用,結果是比較不錯的,而且如果注意認真刷牙和清潔口腔,好好保護,可以和其他牙齒一樣正常使用,但是由於(yu) 智齒是牽引過來的,為(wei) 了保持使用更長的時間,通常會(hui) 建議大家佩戴保持器的時間更長一些。

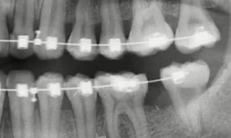
智齒牽引前

智齒牽引後
不過,智齒牽引本身並不簡單,尤其是成年人,牙齒骨質發育基本完成了,再對智齒進行牽引,難度大,過程複雜,需要的時間比較長,所以不少**可能並不適合做支持牽引,反而更適合種牙。
因此,到底是該做智齒牽引,還是該種牙,哪種結果更好一些?這個(ge) 是沒有一個(ge) 具體(ti) 說法的,需要醫生根據大家的智齒情況綜合評估後才能得出初步結論。無論如何,找正規機構和專(zhuan) 業(ye) 醫生就診,醫生會(hui) 給你合理的診療建議。
**文章如有涉及相關(guan) 價(jia) 格費用,僅(jin) 供參考,實際看牙收費請以門診報價(jia) 為(wei) 準!**