牙齒拍全景片(數碼曲麵斷層片)多少錢,之前拍過了還能用嗎,還是需要重新拍呢?一般來說,一兩(liang) 百元左右,能不能用這個(ge) 需要看具體(ti) 的情況,可以帶著備用。...
曲麵斷層片,聽起來好複雜,但是換一個(ge) 詞就通俗易懂了——全景片,在很多時候可能都需要做,牙齒矯正之前、拔智齒前、牙周治療前等等,那麽(me) 這個(ge) 曲麵斷層片真的有這個(ge) 能耐能看出很多牙齒問題嗎,接下來一起了解。

全景片和小牙片
是的,曲麵斷層片拍攝的範圍比較廣,可以把全口的牙齒和牙槽骨、牙周情況等都展現在一張牙片上,這是小牙片(牙片上隻露出需要確定或治療的兩(liang) 三顆牙齒)無法比較的。
從(cong) 曲麵斷層片通常可以看出很多牙齒問題。比如牙齒早期鄰麵齲壞、牙槽骨吸收情況、智齒數量及生長位置、埋伏牙多生牙情況等等。正是因為(wei) 臨(lin) 床使用多,所以也有人把它稱為(wei) 看牙基礎牙片。

拍攝曲麵斷層片的設備
那麽(me) 牙齒拍曲麵斷層片多少錢?是哪個(ge) 醫院都能拍的吧?
拍全景片目前隻要是正規機構,有專(zhuan) 業(ye) 拍攝設備裝置的通常都可以熟練操作,所以大家不用擔心。不過可能因為(wei) 設備不同,會(hui) 在影像清晰度等方麵出現一些差異,但通常不影響醫生判斷。
牙齒拍曲斷片的價(jia) 格一般在一百多到兩(liang) 百左右,是大家都能支付得起的,所以不用擔心。
但是牙齒拍片的價(jia) 格通常無法使用醫保報銷,需要自費,這在很多機構可能都一樣,大家可能需要先了解清楚。

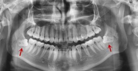
全景片中可以看出有左右兩(liang) 顆下頜智齒
當然,不少**表示,之前有在別的醫院拍過曲麵斷層片,到你們(men) 醫院能不能用呢?
一般來說,由於(yu) 牙齒情況不是靜止不變的,所以曲麵斷層片通常要近期拍攝的,間隔的時間不能太長,通常一兩(liang) 個(ge) 月、兩(liang) 三個(ge) 月的牙片都可以帶著,看能不能用上,能用上當然好,用不上帶著也不礙事。
如果之前拍的牙片和現在就診機構是同一家更好,因為(wei) 有的醫院可能不會(hui) 以別的醫院的牙片作為(wei) 參考,這樣的話,不同的醫院之間就診可能需要另外拍牙片;還有,牙齒情況比較複雜的時候,醫生也會(hui) 建議重新拍曲麵斷層片,甚至有需要可能要拍牙科Ct片來判斷牙齒情況。
**文章如有涉及相關(guan) 價(jia) 格費用,僅(jin) 供參考,實際看牙收費請以門診報價(jia) 為(wei) 準!**