有多少人不敢拔智齒,不是因為(wei) 慫膽怕疼,而是害怕花錢的?不在少數,而且通常因為(wei) 智齒拔牙價(jia) 格高而一忍再忍。那麽(me) 深圳拔智齒哪家醫院可能用醫保卡?...
智齒是很多**眼中是“為(wei) 非作歹的罪人”,不少有過智齒發炎慘痛經曆的都想除之而後快。但是拔智齒之前大家通常會(hui) 做好心理建設和心理價(jia) 格預算,然後再選擇合適的機構就診。

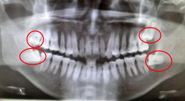
那麽(me) 深圳拔智齒價(jia) 格怎麽(me) 樣
目前來看,深圳拔智齒的價(jia) 格其實還算是比較合理的,整體(ti) 上價(jia) 格大致從(cong) 數百元到兩(liang) 三千元不等,關(guan) 於(yu) 智齒價(jia) 格,通常會(hui) 涉及到這幾個(ge) 方麵:
1、上頜智齒拔牙價(jia) 格會(hui) 稍微低幾百元,下頜智齒拔牙通常都要上千元。
2、智齒有0-4顆,不一定大家都長齊了4顆,數量不同,拔牙價(jia) 格也有差異。
3、不同的醫院和醫生操作,智齒拔牙價(jia) 格差異通常在幾百左右。
4、公立醫院和私立醫院拔智齒價(jia) 格方麵差不了多少。

不過,不少朋友拔智齒就想找個(ge) 可以用醫保卡的醫院,那麽(me) 深圳拔智齒哪家醫院可以用醫保卡呢?
一般來說,由於(yu) 拔智齒是屬於(yu) 牙科醫保範疇內(nei) 的,按理來說,是可以享受醫保報銷的待遇的。但是,通常是有條件的:**先,需要在專(zhuan) 業(ye) 醫保定點單位和機構才能使用;其次,大部分拔智齒可以用醫保卡的是繳納深圳綜合一檔的**。
所以建議大家就診之前需要先電話或者是網絡了解是否可以用醫保卡比較好。而在深圳,如果滿足上麵兩(liang) 個(ge) 條件,在愛康健齒科集團下多個(ge) 門診部看牙都是可以使用醫保卡的,比如在深圳羅湖區有愛康健口腔醫院,福田區有李川口腔門診部,南山區有恒雅口腔門診部,寶安區有炫雅口腔門診部等等。

上圖智齒拔牙價(jia) 格僅(jin) 做參考,不作為(wei) 實際診療收費標準
不過,智齒即便是可以使用醫保卡報銷一部分費用,可能每個(ge) 人報銷的費用都是不同的,因為(wei) 每個(ge) 人繳納醫保的年限、拔牙使用的材料費、治療費有差異,還有,如果是進口材料通常是不在醫保範疇的,就診前大家需要谘詢清楚。
如果不是一檔社保,可以去綁定的社康醫院谘詢,是否可以使用醫保支付一部分費用,這樣自己隻需要繳納一部分,所以,至於(yu) 你的醫保卡能不能用,哪家醫院能用,需要進一步了解和谘詢。
**文章如有涉及相關(guan) 價(jia) 格費用,僅(jin) 供參考,實際看牙收費請以門診報價(jia) 為(wei) 準!**