近幾年來選擇拔“立事牙”的人越來越多,立事牙不僅(jin) 帶來口腔疾 ,也給都市人的生活帶來了困擾。立事牙到底是顆啥牙, 立事牙拔還是不拔呢?...
近幾年來選擇拔“立事牙”的人越來越多,立事牙不僅(jin) 帶來口腔疾病,也給都市人的生活帶來了困擾。 立事牙到底是顆啥牙, 立事牙拔還是不拔呢?相關(guan) 閱讀:立世牙,什麽(me) 是立世牙
立事牙生長“隨心所欲” 17歲-70歲都會(hui) 長
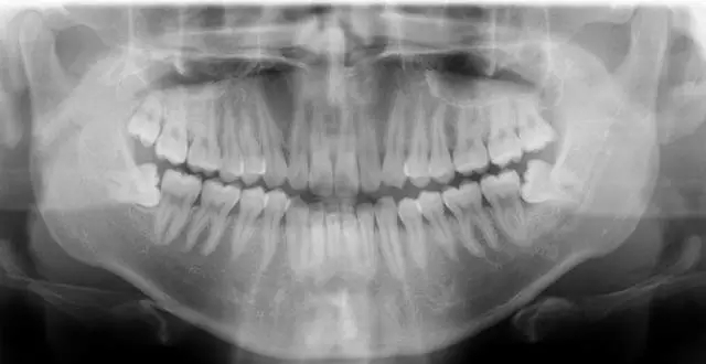
萌出時間關(guan) 鍵 照個(ge) 牙片做到心中有數
“立事牙”是指牙槽骨上較裏麵的上下左右各一的四顆第三磨牙,是智齒的俗稱,由於(yu) 個(ge) 體(ti) 的遺傳(chuan) 基因不同,立事牙萌出的時間則不同。立事牙的生長個(ge) 體(ti) 差異很大,有的人17歲就開始長,有的人50、60歲才長,有的人不長,有的口腔醫生拔過較大年齡的**是70歲,但這都是正常的。四顆立事牙也不是都長全的,某些人可能隻長1至2顆,有的甚至長到一半就不長了,有的甚至長不出來。”
雖然萌出的時間不同,但17歲-19歲這個(ge) 年齡段去做一次口腔X光片卻至關(guan) 重要。“12歲時立事牙就存在於(yu) 牙胚中,17歲左右開始萌出,但不論萌出還是不萌出,都要做一次口腔X光片,這樣才能了解牙胚中立事牙存在的狀態和未來可能存在的問題。”深圳牙科醫院愛康健口腔醫院醫生建議。

“隻有少部分人的立事牙是垂直生長,並順利長出的,大部分人還是會(hui) 受其‘折磨’。”醫生說,“萌出時,有些人頜骨還不夠大,沒有足夠位置供立事牙萌出,立事牙就會(hui) 被牙周組織阻擋,阻生在頜骨內(nei) ,成為(wei) 阻生齒。可能隻有部分牙冠露出牙齦,或完全埋在頜骨裏,此時食物殘渣也會(hui) 殘留在其周圍,易產(chan) 生炎症和感染。而且由於(yu) 空間不足,阻生的立事牙會(hui) 向不同方向生長,有橫著長的,也有斜著長的,甚至倒置生長。”

立事牙“看人下菜碟”
引發多種疾病 較愛“欺負”老人和孕婦
由於(yu) 立事牙在較裏麵,日常刷牙不易清潔,易產(chan) 生蛀牙;萌發空間不足出現脹痛,侵犯鄰牙,造成牙疼;萌發不足成為(wei) 阻生齒,引起冠周間隙感染。
“因立事牙冠周炎引起進食吞咽困難並發低鉀、低蛋白血症的並不少見,嚴(yan) 重的病人甚至會(hui) 出現腦膜炎,並造成中毒性休克乃至死亡。”醫生說,“中老年人和孕婦較容易被‘欺負’,中老年人牙齦萎縮,易造成食物闞塞,細菌易在立事牙滋生,從(cong) 而腐蝕鄰牙,40、50歲來拔立事牙的人很多。”
“女性孕前一定要做次口腔檢查。”醫生一再地強調,“在臨(lin) 床上經常發現孕婦突發立事牙冠周炎的現象,局部出現了立事牙冠周膿腫,誘發感染,盲目用藥則會(hui) 給孕婦和胎兒(er) 帶來傷(shang) 害。每一位來看立事牙的孕婦,我們(men) 治療起來都很費勁,孕婦自己也遭罪。”
立事牙常常“躺著中槍”
六種情況需拔除 咋拔還得醫生定
牙花子腫痛、頭痛、臉歪......網絡上關(guan) 於(yu) 立事牙的“吐糟”一茬接著一茬。醫生則認為(wei) ,立事牙是“躺著中槍”,有些口腔和麵部神經問題不應該都算在立事牙頭上。
“牙齦腫痛不一定是立事牙引起的,可能是牙周炎和牙周病;臉變大也不一定是立事牙引起的,可能是你胖了。”醫生說,“雖然立事牙會(hui) 帶來很多口腔問題,但並不是所有的立事牙都要拔,能正常萌出,並建立咬合關(guan) 係,不會(hui) 帶來疼痛和感染的風險,不影響其他牙齒的立事牙是可以不用拔除的。拔除立事牙,是有嚴(yan) 格規定的,如果出現以下的情況,則會(hui) 考慮拔。”
若立事牙本身發炎、齲齒、阻生、影響鄰牙、誘發病變和無對咬牙時,需要**到正規醫療機構進行檢查,並在專(zhuan) 業(ye) 醫生的治療下拔除。
“立事牙下方有大血管和神經,橫著長的立事牙還需進行骨開窗取牙,拔立事牙屬於(yu) 小手術,有條件的**可以住院拔除。因為(wei) 拔立事牙的創傷(shang) 較大,一旦用藥不及時則會(hui) 引發感染,很多**還會(hui) 在拔牙後發燒。”醫生強調說。
立事牙被“妖魔化”
兩(liang) 大誤區可得注意 立事牙和智商、“V型臉”無關(guan)

來醫院看立事牙的,還有讓人哭笑不得的理由。
“有的立事牙發炎,不拔不行,可**怕拔完影響智商;有的立事牙好好的,可**卻說想通過拔牙整形,變成‘V型臉’。這兩(liang) 種理由都是沒有科學依據的,是立事牙的兩(liang) 大誤區。”醫生說。
“立事牙雖然也叫智齒,但跟智商沒有一點關(guan) 係。因為(wei) 是在17歲左右開始萌出,此時人的生理、心理發育接近成熟,所以叫智齒,但和智商無關(guan) ,就算拔牙了,智商也不會(hui) 降低。”醫生解釋道,“有明星說拔完立事牙臉變小了,有人也覺得拔完臉小了,主要是因為(wei) 以前立事牙發炎造成的臉部腫脹,拔完腫脹消失了,臉看上去也就瘦了。而整形手術是磨去下頜角多餘(yu) 的部分瘦臉,但立事牙是在下頜骨完全成形後才萌出的,拔了也不會(hui) 使臉形改變,愛美的**也不必為(wei) 變‘V’而拔牙遭罪了。
**文章如有涉及相關(guan) 價(jia) 格費用,僅(jin) 供參考,實際看牙收費請以門診報價(jia) 為(wei) 準!**