不少人明知自己有智齒,但就是不敢去拔牙,怕痛!“聽別人說好像拔智齒很疼!”這個(ge) 別人可害苦了經常智齒發炎疼痛的人,幾天我們(men) 索性直麵疼痛,了解一下拔牙有多痛?...
拔智齒疼不疼?老實說,拔過智齒的人表示,拔智齒過程中基本不疼,除了打麻藥的時候,需要局部麻醉,用針注射麻藥在智齒內(nei) 外側(ce) 根部的時候有一丁點疼,不過這是小菜一碟。

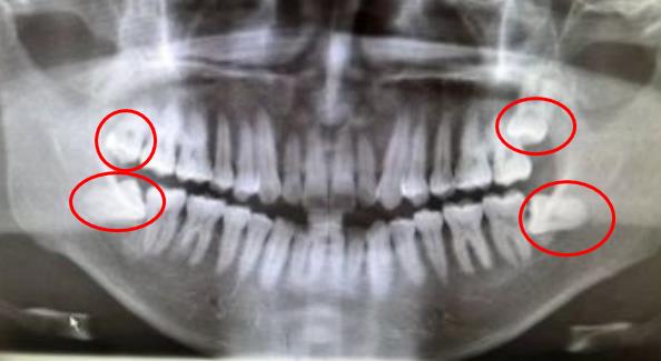
難拔的智齒圖
拔智齒了要疼幾天 拔上智齒疼還是下智齒?
醫生表示,拔智齒後疼幾天因人而異,無法確定了。醫生技術好,微創拔牙,智齒拔牙難度小,可能拔牙後當天就沒事了。但是如果智齒拔牙難度大,智齒拔牙後3/4天可能都還疼,這種情況也有。
一般來說,智齒有0-4顆,分為(wei) 上頜和下頜智齒,如果長齊了,就是上下左右各一顆(從(cong) 門牙開始向裏麵數,如果有第8顆,多半是智齒無疑)。通常上麵的智齒好拔一些,因為(wei) 下麵的智齒牙根比較深,而且經常橫著長,所以拔下智齒比拔上智齒疼一些。
疼不疼,疼幾天這個(ge) 問題,除了和智齒本身的難度有關(guan) ,還和一次拔幾顆智齒也有關(guan) 係。比如隻拔除一顆智齒和拔除同側(ce) 兩(liang) 顆智齒,明顯後者拔牙後疼痛的程度可能更大一些。所以建議拔智齒的時候根據自己的情況確定分幾次拔除比較好。

智齒拍片,如圖所示,這個(ge) **有4顆智齒
智齒拔牙後疼痛很厲害怎麽(me) 辦
不用擔心,智齒拔牙後醫生一般會(hui) 根據智齒拔牙難度開具一些消炎止痛藥物,在拔牙後根據醫囑服用,可以緩解拔牙後的疼痛。
**文章如有涉及相關(guan) 價(jia) 格費用,僅(jin) 供參考,實際看牙收費請以門診報價(jia) 為(wei) 準!**