智齒是個(ge) 魔人的小妖精,經常讓人寢食難安不說,關(guan) 鍵是還很疼。很多人長智齒後都不知道,趕緊看看文章怎麽(me) 自己判斷有無智齒。...
很多網友經常都會(hui) 問,嘴裏*後一顆牙齒的地方好疼,不知道是怎麽(me) 回事,是不是牙齦發炎了牙,被告知可能是智齒,智齒發炎了造成的疼痛後大家經常會(hui) 一臉懵:我有智齒嗎,哪顆是智齒?

說了很多很多次,如何判斷自己長智齒了,但還是有人不知道的。今天就來教教大家怎麽(me) 自己判斷是不是長智齒了?
怎麽(me) 判斷自己是不是長智齒了?
一般自己能做的就是通過數牙齒的數量來判斷,比如說正常人全口牙齒是28——32顆(包含了0~4顆智齒),所以全口有28顆牙齒,那可能就沒有智齒,如果全口有28顆以上的牙齒,那就可能可以有智齒了。
還有,如果沒辦法數全口牙齒, 那就把牙齒分為(wei) 上下4個(ge) 部分,以門牙為(wei) 分界線,然後從(cong) 門牙開往後數,(需要借助鏡子或者朋友的幫助)如果有第8顆的話,那麽(me) 恭喜你,就可能是長智齒了。
為(wei) 什麽(me) 說可能呢,因為(wei) 智齒如果萌出來了,肉眼能看到,但是沒有萌出來的,長在牙床裏,肉眼是看不到的;還有多出來的牙齒也有可能是多生牙,因此,這隻是大概估計,具體(ti) 還需要到醫院拍全景片才能確定是否有智齒。
另外,還可以從(cong) 智齒症狀來判斷:如果是口腔裏末端的牙齒周圍紅腫疼痛,張口吃東(dong) 西、說話等都很困難,而且經常反複發炎。需要吃消炎藥物或者局部衝(chong) 洗消炎後炎症才會(hui) 好轉,等到消炎後再確定要不要拔牙。

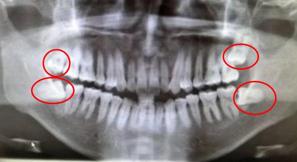
長了4顆智齒的,全景片一目了然
那麽(me) 智齒有幾顆呢?什麽(me) 時候長呢?
智齒什麽(me) 時候長出來,有幾顆,這都是不能確定的。因為(wei) 智齒通常是16歲以後萌出,有人在18歲就長了,但是有的要30/40歲的時候才長出來,這都是正常的。
而且長出來的智齒數量也不是統一的,一般智齒是0-4顆, 如果全部長出就是4顆,上下左右各一顆,但是也有長3顆,2顆和1顆的。因此,具體(ti) 長幾顆這種自己不好判斷,無法確定的, 都需要到醫院拍片確定。
**文章如有涉及相關(guan) 價(jia) 格費用,僅(jin) 供參考,實際看牙收費請以門診報價(jia) 為(wei) 準!**