牙齦附在牙齒和牙槽骨上,起到一種保護和支撐的作用,如果牙齦萎縮了,牙齒沒了保護,牙根露出,就會(hui) 出現冷熱刺激疼痛等情況,所以一般出現了牙齦萎縮就需要及時到醫院檢查具體(ti) 的原因,以便於(yu) 進行對症治療。...
牙齦附在牙齒和牙槽骨上,是起到一種保護和支撐的作用,如果牙齦萎縮了,牙齒沒了保護,牙根露出,就會(hui) 出現冷熱刺激疼痛等情況,所以一般出現了牙齦萎縮就需要及時到醫院檢查具體(ti) 的原因,以便於(yu) 進行對症治療。

牙齦萎縮按照原因可以分為(wei) 以下幾種類型:
1、炎症性:這種主要是因為(wei) 口腔內(nei) 牙結石過多,對牙齦長期造成刺激,出現牙齦炎,牙周炎等炎症導致的。主要是需要先到醫院洗牙,然後進行牙齦下潔治等一係列係統的治療,控製牙齦炎,牙周炎的情況。
2、機械性:這種主要是指使用不合格的牙刷,以及采用不合適的刷牙方式,以及使用牙簽剔牙等不正確的清潔方式造成對牙齦的刺激而出現的。主要需要采用小刷頭牙刷和巴氏刷牙法,動作輕柔,每天至少2次,每次至少2分鍾,采用正確的牙線、漱口水等使用工具。
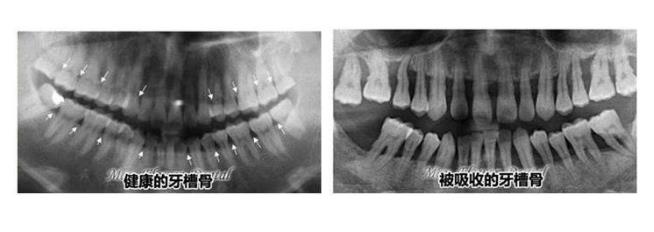
3、廢用性:用進廢退,這是很多人都明白的道理,一般老年人沒有了牙齒後,牙齦和牙槽骨沒有足夠的刺激,就會(hui) 導致牙齦萎縮,牙槽骨吸收的情況。因此,建議牙齒缺失後及時鑲牙修複,否則不僅(jin) 難度增加,而且不能享受晚年幸福生活。

深圳牙科醫生介紹到,牙齦萎縮是不可逆的,所以通常重要的辦法是預防,那麽(me) 一般怎麽(me) 預防呢?比如定期口腔保健,檢查和治療牙齒疾病;掌握正確的巴氏刷牙方法,減少對牙齦的刺激;配合使用牙縫刷、牙線清潔牙縫。此外,早發現、早診斷、早治療,以免牙齦萎縮更加嚴(yan) 重。
**文章如有涉及相關(guan) 價(jia) 格費用,僅(jin) 供參考,實際看牙收費請以門診報價(jia) 為(wei) 準!**